2025-10-17
ふとした瞬間に、ご自身の口元が気になったことはありませんか?
特に、出っ歯は、見た目のコンプレックスだけでなく、お口の健康にも影響を及ぼすことがあります。
マウスピース矯正の「スマイルモア」で出っ歯を治したいと考える一方で、「自分の出っ歯は治るのか」「費用や矯正期間はどのくらいかかるのか」といった疑問をお持ちの方も多いでしょう。この記事では、スマイルモア矯正での出っ歯の治療範囲から、費用や期間の目安まで、症例を交えながら歯科医師監修のもと詳しく解説いたします。

この記事の監修医師歯科医師齋藤 博愛 先生
医療法人 誓栄会 千賀デンタルクリニック 副理事長。東京歯科大学 卒業。慶應義塾大学病院歯科・口腔外科研修修了。
日本歯周病学会,日本口腔インプラント学会,日本口腔外科学会所属。
出っ歯とは、正式には「上顎前突(じょうがくぜんがつ)」と呼ばれる不正咬合の一種です。
具体的には、上の前歯や上顎全体が、下の前歯や下顎に対して前に出ている状態を指します。横から見たときに、上唇が出ているように見える、口が閉じにくいと感じるケースも少なくありません。
出っ歯の原因は、遺伝的要因のほか、小さい頃の口呼吸や指しゃぶりの癖などが挙げられます。
出っ歯は、単に「見た目が気になる」という問題だけではありません。 放置することで、以下のような悪影響を及ぼす可能性があります。
口が閉じにくいため口呼吸になりやすく、お口の中が乾燥することで、むし歯や歯周病のリスクが高まります。
また、歯磨きが不十分になりやすく、特に前歯の裏側などに磨き残しが生じやすい傾向があります。
前歯が出ていることで、転倒時などに歯が折れてしまう、唇を切ってしまうといったリスクが高まります。
重度の出っ歯の場合、噛み合わせに支障が出ているケースもみられます。
この場合、顎関節に負担がかかることで、顎関節症を引き起こす可能性もあります。
見た目の改善はもちろんですが、これらのリスクを軽減するためにも出っ歯の治療を検討することは非常に重要であるといえるでしょう。

さまざまな矯正方法を検討されている人のなかには、「スマイルモア矯正で本当に出っ歯が治るのか?」と疑問をお持ちの方もいらっしゃるかもしれません。
スマイルモア矯正では、患者さま一人ひとりの歯並びに合わせて、理想の歯並びへと段階的に歯が動くように作製されたオーダーメイドのマウスピースを複数枚使用します。一定期間ごとに新しいマウスピースに交換することで、少しずつ歯に圧力をかけ、前方に出た前歯を適切な位置に移動させるとともに、歯の傾きを改善します。
透明で目立ちにくいマウスピースを使用しているため、従来の矯正と比べて周囲に気づかれにくく、日常生活への影響も最小限に抑えられます。
その他、スマイルモア矯正で出っ歯を治療するメリットは、以下のような点が挙げられます。
矯正治療と聞くと高額なイメージをお持ちの方も多いかもしれません。
スマイルモア矯正では、手の届きやすい価格で出っ歯の治療を始めることができます。
料金表はこちら

スマイルモア矯正は、3ヶ月に1回程度の通院で進めることができます。
矯正治療と聞くと頻繁な通院が必要なイメージがあるかもしれません。スマイルモア矯正では、忙しい方でも無理なく治療を続けられるよう、通院回数を最小限に抑えています。したがって、お仕事や学業と両立しながら、理想の歯並びを目指すことができます。
ただし、歯並びや歯の状態によっては、通院頻度が異なる場合がございます。患者さまに合った通院頻度については、歯科医師にご相談ください。
スマイルモア矯正を選ばれた理由として、「目立ちにくいマウスピース矯正に魅力を感じた」という方も多くいらっしゃいます。
実際、透明なマウスピースを使用するため、装着していてもほとんど目立ちません。接客業など人と接する機会の多い方でも、人目を気にすることなく、矯正を進めることができます。
マウスピースは食事や歯磨きの際に、取り外し可能です。
ワイヤー矯正のように食べ物が引っかかる心配や、歯磨きの際の煩わしさもありません。また、口内炎などの不快感も少なく、治療できます。
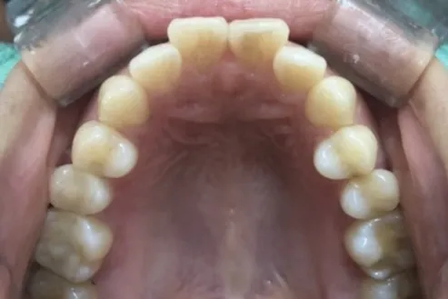
「スマイルモア矯正で軽度の出っ歯は治るのか」という疑問をお持ちの方も多いかもしれません。
軽度の出っ歯とはどのくらいか、ご自身で判断するのは難しいかもしれませんが、一般的には以下の状態であれば、治療によって出っ歯が改善するケースが多くなっています。
・前歯が数ミリ程度前に出ている
・前歯の傾きが気になる
・リラックスした状態で口を閉じたときに、前歯がわずかに見える
・横から見たときに、Eラインより唇が少し前に出ている
※これらはあくまで一般的な目安であり、正確な診断は歯科医師による精密検査が必要です。
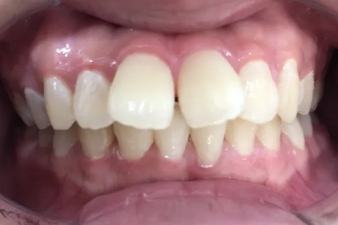
軽度の出っ歯の場合、数か月~1年程度と比較的短期間で治療が完了するケースが多くみられます。矯正費用については17~30万円台で治療可能なケースが多く、スマイルモア矯正であれば従来の矯正と比べて費用も抑えられます。
症例一覧はこちら
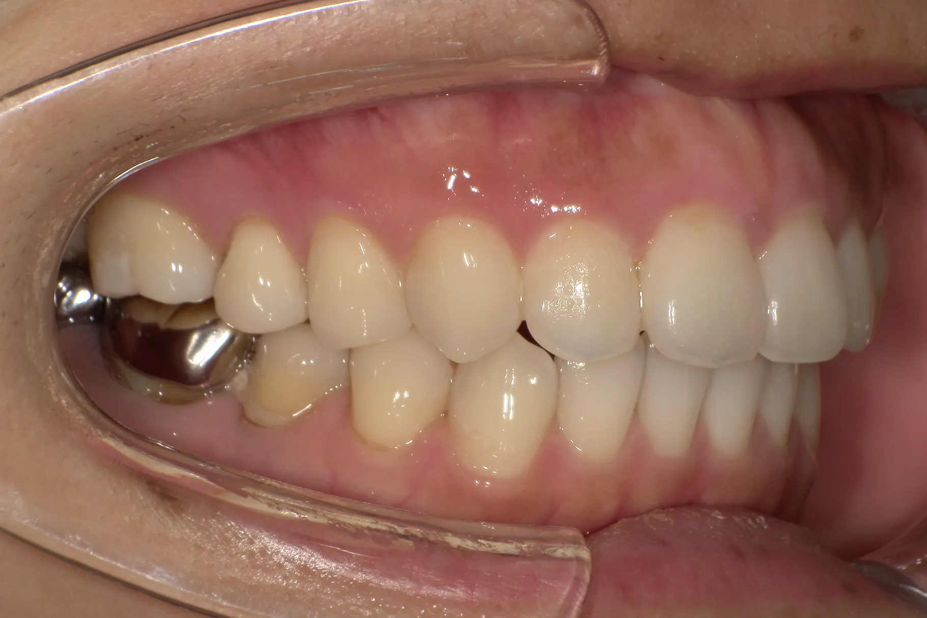
なかには以下のような、よりひどい出っ歯でお悩みの方もいらっしゃるでしょう。
・前歯が大きく前方に出ている
・口を閉じにくい、意識しないと閉じることができない
こうした場合、「スマイルモア矯正で対応できるのか」という疑問や不安をお持ちの方も多いかもしれません。
スマイルモア矯正では、軽微な歯並びの改善だけでなく、奥歯のかみ合わせまで含めた全体の歯並びを整える治療にも対応しております。一見すると、難しいと思われるような重度の出っ歯でも、対応できる可能性がありますので、お悩みの際はお気軽にご相談ください。
※症例によってはワイヤー矯正など別の治療法をご提案させていただく場合もございます。予めご了承ください。
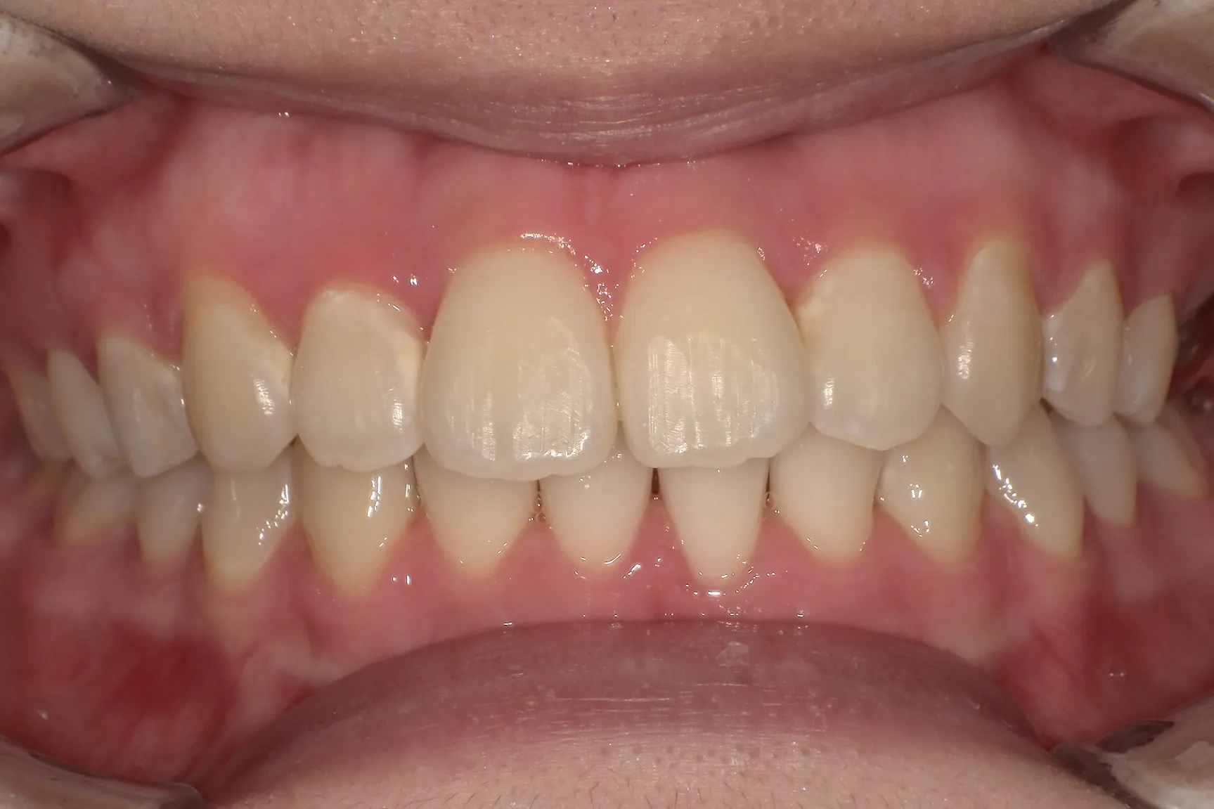
重度の出っ歯の場合、1年以上かかるケースもあります。
費用については、中~重度のプランに該当することが多くなっています。






| 詳細情報 | |
|---|---|
| 費用 | 360,000円(税込396,000円) |
| 治療期間 | 1年3ヶ月 |
| 治療内容 | マウスピースを用いた歯列矯正 |
| 追加処置 | IPR |
※保険適用外の自由診療となります。
※効果や感じ方には個人差があります。
※マウスピース矯正の主なリスク: 虫歯・歯周病・ブラックトライアングル・歯根吸収・歯肉退縮・1日20時間以上のマウスピース装着が必須・マウスピースにより痛みを感じる可能性・治療中に一時的にかみ合わせに不具合をきたす可能性・リテーナーを最低1年間は1日20時間以上装着、その後徐々に着用時間を減らし、2年目以降は夜間のみの着用推奨。









| 詳細情報 | |
|---|---|
| 費用 | 360,000円(税込396,000円) |
| 治療期間 | 1年1ヶ月 |
| 治療内容 | マウスピースを用いた歯列矯正 |
| 追加処置 | IPR |
※保険適用外の自由診療となります。
※効果や感じ方には個人差があります。
※マウスピース矯正の主なリスク: 虫歯・歯周病・ブラックトライアングル・歯根吸収・歯肉退縮・1日20時間以上のマウスピース装着が必須・マウスピースにより痛みを感じる可能性・治療中に一時的にかみ合わせに不具合をきたす可能性・リテーナーを最低1年間は1日20時間以上装着、その後徐々に着用時間を減らし、2年目以降は夜間のみの着用推奨。
スマイルモア矯正で出っ歯を治療する場合、一般的に以下のような流れで進められます。
まずは無料カウンセリングをお申込みください。
カウンセリングでは、患者さまのお悩みやご希望を詳しくお伺いいたします。歯科医師がお口の中を拝見し、スマイルモア矯正で適応可能か、歯をどのように動かしていくか、治療期間や費用総額など具体的な治療計画をご説明いたします。
無料カウンセリングを予約
型取りを行ったあと、マウスピースを作製いたします。
マウスピースのお渡しまで、最短で1か月程度のお時間をいただいております。
マウスピースを受け取ったあとは、1日の装着時間を守ってご使用いただき、数週間ごとに新しいマウスピースに交換いただきます。
治療の進行状況を確認し、必要に応じて計画の微調整や追加処置(IPRなど)を行うために、3ヶ月に1回ほど定期的にご通院いただきます。
計画通りに歯が移動し、理想の歯並びになりましたら矯正治療は完了です。
その後、歯並びが後戻りするのを防ぐために、リテーナーと呼ばれる保定装置を一定期間使用していただきます。
出っ歯の治療で悩まれる方からよくいただくご質問を紹介いたします。
できるだけ抜歯をせずに治療を進めるようにしております。代わりに、歯を動かすスペースを確保するため、歯の側面をわずかに削る、奥歯を少しずつ後方に動かすなどの方法を用いることが多くなっています。
ただし、症例によっては抜歯が必要となるケースもゼロではありません。特に、歯の出っ張りが非常に大きい場合など、抜歯をすることで理想的な歯並びに近づく可能性もあります。
抜歯の必要性については、検査結果に基づき歯科医師が判断いたします。
出っ歯を治療することで、前歯が適切な位置に移動し、口元の出っ張りが解消されるため、Eラインが整い、横顔の印象が変わるケースもみられます。
前歯が引っ込み適切な位置に並ぶことで、自然に口を閉じられるようになる方がほとんどです。
口元に力を入れずにリラックスした状態で口を閉じられるようになると、お口の健康維持にもつながります。
ここまで、スマイルモア矯正で出っ歯は治るのかについて説明してまいりました。
出っ歯は見た目だけでなく、お口の健康にもさまざまな悪影響をもたらします。
スマイルモア矯正では、透明で目立ちにくいマウスピースを使用するため、周囲に気づかれにくく、低価格かつ短い矯正期間で治療を進めることができるというメリットがあります。
スマイルモア矯正では、無料カウンセリングを実施しており、一人ひとりに合った最適な治療をご提案させていただきます。出っ歯でお悩みの方は、ぜひお気軽にご相談ください。