2025-08-13

Eラインが整っていると美しいと言われるように、口元が整えば顔の印象はずいぶんと変わります。口元が前に出ている口ゴボは、本人もコンプレックスになるだけでなく、全身に影響を及ぼすこともあるため適切な治療が必要です。
この記事では、口ゴボの費用を徹底解説します。また費用と併せて各治療法の特徴やメリット・デメリット・治療期間なども解説します。実際の症例も紹介していますのでぜひ参考にしてください。
※この記事にはPR情報が含まれます。
※掲載医院の選定については編集部による調査により編集部独自の視点で執筆しております。
※症例写真はスマイルモア矯正独自のものです。
※記事記載の施術の効果効能などには個人差があり保証するものではありません。
※最新情報は各医院公式サイトにてご確認ください。

この記事の監修医師歯科医師齋藤 博愛 先生
医療法人 誓栄会 千賀デンタルクリニック 副理事長。東京歯科大学 卒業。慶應義塾大学病院歯科・口腔外科研修修了。
日本歯周病学会,日本口腔インプラント学会,日本口腔外科学会所属。

まずは口ゴボ矯正の治療方法別の費用と期間を詳しく解説します。それぞれの矯正治療の特徴や適応症例、治療期間、費用目安を以下の表にまとめました。
| 矯正方法 | マウスピース矯正 |
|---|---|
| 特徴 | ・目立ちにくい ・取り外しができる ・虫歯や歯周病のリスクが低い ・部分矯正はほかの治療法より安い |
| 適応症例 | ・出っ歯 ・すきっ歯 ・受け口 ・八重歯 ・ガタガタの歯並び |
| 治療期間 | ・全体矯正:平均1年7か月(最短4か月、最長3年) ・部分矯正:平均9か月(最短5か月、最長1年6か月) |
| 費用 | ・前歯のマウスピース矯正:11~70万円 ・上顎のマウスピース矯正:30~40万円 ・全歯列のマウスピース矯正:50~120万円 |
口ゴボはすべての矯正方法で対応可能ですが、重症度によっては対応できない場合もあります。受けたい治療法がある場合は、まずは医師の診察を受けて対応しているかを確認しましょう。
治療期間は症例にもよりますが、マウスピース矯正は平均9か月~1年7か月程度、表側矯正は平均2年7か月、裏側矯正は平均2年11か月、外科矯正は平均4~5年(※スマイルモア矯正の調査による)です。いずれも年単位の治療が必要です。
費用については、マウスピース矯正、表側矯正、裏側矯正は自費診療、外科矯正は保険診療です。いずれも費用は高額になりがちのため、メリット・デメリットを考慮して治療法を決めましょう。
上記を踏まえて、それぞれの治療方法の特徴やメリットとデメリット、治療期間や費用目安を詳しく解説します。口ゴボの治療法を検討しているときはぜひ参考にしてみてください。
マウスピース矯正で口ゴボを改善する場合の、矯正方法やメリットとデメリット、適応症例、費用、治療期間をまとめました。
| 矯正方法 | 透明なマウスピースを使って歯並びを整えていく矯正方法 |
|---|---|
| メリット | ・矯正していることを気付かれにくい ・他の方法に比べて虫歯や歯周病のリスクが低い ・事前に仕上がりを確認できる |
| デメリット | ・1日に20時間以上装着する必要がある ・重度の不正咬合には適用できない |
| 適応症例 | ・出っ歯:上顎前突 ・すきっ歯:空隙歯列 ・受け口:下顎前突 ・八重歯:叢生 ・ガタガタの歯並び |
| 費用 | ・前歯のマウスピース矯正:11~70万円 ・上顎のマウスピース矯正:30~40万円 ・全歯列のマウスピース矯正:50~120万円 |
| 治療期間 | ・全体矯正:平均1年7か月(最短4か月、最長3年) ・部分矯正:平均9か月(最短9か月、最長1年半) |
マウスピース矯正は、透明なマウスピースを使って歯並びを整えていく矯正方法です。軽度の口ゴボであればマウスピース矯正で改善できる場合があります。
マウスピース矯正は通常1~2週間ごとにマウスピースを交換して、段階的に歯を動かしていきます。1枚のマウスピースで動かせる距離は最大で0.25mmです(インビザラインの場合)。食事や歯磨き以外では常に装着するのが望ましく、メーカーにもよりますが1日の推奨装着時間は20時間以上です。
マウスピース矯正の最大のメリットは、透明なマウスピースを使うため矯正していることを気付かれにくいことです。また取り外しができるため他の方法に比べて虫歯や歯周病のリスクが低いことや、マウスピースを作る段階から最終的な歯並びをシミュレーションで確認できることもメリットです。
一方で、1日に20時間以上装着しなければいけません。そして、重度の不正咬合には適用できないため、マウスピース矯正を受けられないこともあります。
マウスピース矯正の適用症例は、出っ歯、すきっ歯、受け口、八重歯、ガタガタの歯並びです。軽度の口ゴボの治療にも対応しているため気になる人はカウンセリングを受けてみましょう。
マウスピース矯正は前歯がガタガタしている矯正も得意で、前歯を重点に置いた部分矯正でも対応できます。
スマイルモア矯正の調査によるマウスピース矯正の費用は以下の通りです。
・前歯のマウスピース矯正:11~70万円
・上顎のマウスピース矯正:30~40万円
・全歯列のマウスピース矯正:50~120万円
出典:マウスピース矯正の値段相場は?平均でどれくらいの費用がかかる?
スマイルモア矯正の調査によるマウスピース矯正の平均治療期間は以下の通りです。
・全体矯正:1年7か月(最短4か月、最長3年)
・部分矯正:9か月(最短9か月、最長1年半)
マウスピース矯正の治療期間は使用するマウスピースの枚数によって決まります。枚数が多くなればその分、治療期間は長くなるでしょう。
出典:マウスピース矯正の矯正期間を徹底解説!他の矯正方法と気になるポイントを比較
ワイヤー矯正の表側矯正で口ゴボを改善する場合の、矯正方法やメリットとデメリット、適応症例、費用、治療期間をまとめました。
| 矯正方法 | 歯の表側にワイヤーとブラケットを装着して歯を徐々に動かしていく治療法 |
|---|---|
| メリット | ・難しい症例にも対応できる ・取り扱っているクリニックが多い |
| デメリット | ・矯正装置が目立つ ・痛みや不快感がある ・食事をしにくい ・歯磨きをしにくい ・虫歯のリスクが高まる |
| 適応症例 | ・出っ歯:上顎前突 ・すきっ歯:空隙歯列 ・受け口:下顎前突 ・八重歯:叢生 ・オープンバイト:開咬 ・歯を大きく動かす必要がある症例 |
| 費用 | 50~110万円 |
| 治療期間 | 平均2年7か月(最短1年、最長5年6か月) |
表側矯正とは、ワイヤー矯正のひとつです。表側と名前がつくように、歯の表側にワイヤーとブラケットを装着して歯を徐々に動かしていく治療法です。歯の1本1本にブラケットを取り付けてそこにワイヤーを通して、ワイヤーの元に戻ろうとする性質を利用して、時間をかけて歯を徐々に動かしていきます。
表側矯正のメリットはほとんどの歯並びに対応している点です。細かな調整で歯を大きく動かすことができるため、マウスピース矯正では対応できないような難しい症例にも対応しています。
そして、表側矯正は矯正治療の中で最もスタンダードな矯正方法です。そのため、取り扱える医院が多く、引っ越しなどで歯科クリニックを変えなければならないときでも、対応できるクリニックを探しやすいというメリットがあります。
一方で、歯の表側にワイヤーとブラケットを取り付けるため、どうしても矯正装置が目立ってしまいます。そのため、矯正していることを周囲に気付かれやすいでしょう。また、ワイヤー矯正は歯を大きく動かすことができるため、その分痛みや不快感があるのもデメリットです。
そして矯正装置は取り外しができないため歯磨きや食事をしにくいことがあります。特に磨き残しができやすく、虫歯のリスクが高まるため毎日しっかりケアすることが大切です。
表側矯正の適応症例は、出っ歯、すきっ歯、受け口、八重歯、オープンバイト、歯を大きく動かす必要がある症例などです。
口ゴボの治療にも対応しており、重症度でも表側矯正を受けることができます。
スマイルモア矯正の調査によると、表側矯正の費用は50~110万円です。平均費用は78万円で、金額に差があるのは自費診療であるためです。また、矯正期間が長くなると、その分費用も高くなる傾向があります。
出典:【初心者向け】ワイヤー矯正とは?メリットや種類、値段を徹底解説
スマイルモア矯正の調査によると、表側矯正の平均治療期間は2年7か月です。最短で1年、最長で5年6か月かかっています。
症例によって治療期間が異なるほか、虫歯や歯周病の有無、抜歯の有無、外科矯正との組み合わせなどによっても治療期間が異なります。
出典:【初心者向け】ワイヤー矯正とは?メリットや種類、値段を徹底解説
ワイヤー矯正の裏側矯正で口ゴボを改善する場合の、矯正方法やメリットとデメリット、適応症例、費用、治療期間をまとめました。
| 矯正方法 | 歯の裏側(舌側)にワイヤーとブラケットを装着して歯並びを整える治療法 |
|---|---|
| メリット | ・見た目が目立たないため ・対応できる症例が多い ・出っ歯や受け口などの口ゴボの治療が得意 ・歯を動かすスピードが速い |
| デメリット | ・表側矯正に比べて費用が高くなる ・治療を受けられる歯科クリニックが限られる ・歯磨きや食事がしにくい |
| 適応症例 | ・出っ歯:上顎前突 ・すきっ歯:空隙歯列 ・受け口:下顎前突 ・八重歯:叢生 ・オープンバイト:開咬 ・歯を大きく動かす必要がある症例 |
| 費用 | 81~160万円 |
| 治療期間 | 平均2年11か月(最短1年10か月、最長4年11か月) |
裏側矯正もワイヤー矯正のひとつで、歯の裏側(舌側)にワイヤーとブラケットを装着して歯並びを整える方法です。裏側矯正は表側矯正と比べて隣り合う歯と歯の距離が短くなるため、ワイヤーの長さが短くなります。そのため、より強い力がかかりやすいのが特徴です。
裏側矯正のメリットは、治療中の見た目が目立たないため歯を大きく動かす必要のある症例でも、見た目を気にせず治療を続けることができます。
また、口ゴボなどのように前歯を引っ込める治療が可能です。歯の裏側にブラケットとワイヤーを取り付けると内側に力が働きやすくなるため、出っ歯や受け口などの口ゴボの治療に向いています。歯を動かす力が強いため、歯を動かすスピードが速いのも裏側矯正のメリットです。
一方で、歯の裏側に矯正装置を取り付けるため表側矯正に比べて費用が高くなる傾向にあります。表側矯正に比べて高度な技術が必要になるため、取り扱っている歯科クリニックも限られる点に注意が必要です。
また、表側矯正と同じく取り外しができないため歯磨きや食事がしにくいのもデメリットです。
裏側矯正は、内側に引っ張る力が強くなるため口ゴボの治療も得意です。裏側矯正の適応症例は、出っ歯、すきっ歯、受け口、八重歯、オープンバイト、歯を大きく動かす必要がある症例などです。
口ゴボの治療にも対応しており、重症度でも表側矯正を受けることができます。
スマイルモア矯正の調査によると裏側矯正の費用は81~160万円です。平均費用は123万円で、金額に差があるのは自費診療であるためです。また、矯正期間が長くなると、その分費用も高くなる傾向があります。
出典:【初心者向け】ワイヤー矯正とは?メリットや種類、値段を徹底解説
スマイルモア矯正の調査によると、裏側矯正の平均治療期間は2年11か月です。最短で1年10か月、最長で4年11か月かかっています。
出典:【初心者向け】ワイヤー矯正とは?メリットや種類、値段を徹底解説
外科矯正で口ゴボを改善する場合の、矯正方法やメリットとデメリット、適応症例、費用、治療期間をまとめました。
| 矯正方法 | ほかの矯正方法では改善できない場合に外科的に噛み合わせを改善する治療法 |
|---|---|
| メリット | ・骨格の問題を根本的に解決できる ・見た目が改善できる ・症例により保険診療となる場合がある |
| デメリット | ・回復までに時間がかかる ・全身麻酔の合併症のリスク ・下顎の損傷による知覚麻痺のリスク |
| 適応症例 | ・顎変形症 ・受け口:下顎前突 ・出っ歯:上顎前突 ・過蓋咬合 ・ガミースマイル ・オープンバイト:開咬 ・顔面非対称 ・厚生労働省で認められている不正咬合や先天的疾患 など |
| 費用 | 保険適用 |
| 治療期間 | 4~5年 ・術前矯正:1~2年 ・入院期間:10~2週間 ・術後矯正:半年~2年 |
ワイヤー矯正やマウスピース矯正などの矯正治療単体では、十分な改善が期待できない場合は外科矯正を行います。外科矯正とワイヤー矯正などを組み合わせることで噛み合わせを整えながら、顔の歪みなどの見た目を改善することが可能です。
外科矯正のメリットは、手術によって骨格の問題を根本的に解決できる点です。歯並びではなく、顎の大きさなどが原因で歯並びや噛み合わせが悪くなっている場合には、外科矯正が有効です。手術により見た目の大幅な改善もできます。
また、外科矯正の適用の疾患であれば、保険診療の対象です。これにより治療費の負担が軽減します。
一方で外科矯正は入院を必要とする手術となるため、回復までに時間がかかります。そして、手術には全身麻酔を使用するため、吐き気や寒気などの合併症が起こる可能性もあり、手術による出血や腫れ、感染症などのリスクも伴うため、手術への十分な理解が必要です。
また、手術による下顎の損傷で感覚神経が障害されると、知覚麻痺が残る可能性があります。
外科矯正が適応になるのは、「顎変形症」と呼ばれる症例です。顎変形症は顎の骨の大きさ、形、位置などに異常が見られたり、顔のバランスに異常が見られたりする状態の総称です。
受け口や出っ歯、過蓋咬合・ガミースマイル、オープンバイト、顔面非対称などが適応されます。また厚生労働省で認められている不正咬合や先天的疾患も適応です。
出典:顎変形症(咬合不全・不正咬合・反対咬合・上顎前突・下顎前突)|日本形成外科学会
顎変形症や厚生労働省が定める不正咬合や先天性疾患の場合は保険適用で外科矯正を受けることができます。
手術のための入院期間は10日~2週間程度です。ただし、外科矯正は術前矯正と術後矯正が必要になります。術前矯正の期間は1~2年程度、術後矯正は半年~2年程度の期間が必要です。そのためトータルで4~5年程度の治療期間がかかります。
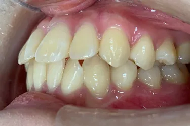
ここからはスマイルモア矯正でマウスピースを使った口ゴボの矯正の事例を2つ紹介します。「治らなかった」と後悔しないためにも、ビフォーアフター写真や治療内容、治療期間、費用などを確認しましょう。






| 詳細情報 | |
|---|---|
| 費用 | 360,000円(税込396,000円) |
| 治療期間 | 8ヶ月 |
| 治療内容 | マウスピースを用いた歯列矯正 |
| 追加処置 | IPR |
※保険適用外の自由診療となります。
※効果や感じ方には個人差があります。
※マウスピース矯正の主なリスク: 虫歯・歯周病・ブラックトライアングル・歯根吸収・歯肉退縮・1日20時間以上のマウスピース装着が必須・マウスピースにより痛みを感じる可能性・治療中に一時的にかみ合わせに不具合をきたす可能性・リテーナーを最低1年間は1日20時間以上装着、その後徐々に着用時間を減らし、2年目以降は夜間のみの着用推奨。






| 詳細情報 | |
|---|---|
| 費用 | 360,000円(税込396,000円) |
| 治療期間 | 9ヶ月 |
| 治療内容 | マウスピースを用いた歯列矯正 |
| 追加処置 | IPR |
※保険適用外の自由診療となります。
※効果や感じ方には個人差があります。
※マウスピース矯正の主なリスク: 虫歯・歯周病・ブラックトライアングル・歯根吸収・歯肉退縮・1日20時間以上のマウスピース装着が必須・マウスピースにより痛みを感じる可能性・治療中に一時的にかみ合わせに不具合をきたす可能性・リテーナーを最低1年間は1日20時間以上装着、その後徐々に着用時間を減らし、2年目以降は夜間のみの着用推奨。

そもそも口ゴボとは、口を閉じた状態で横から見たときに口元が盛り上がっている状態のことをいいます。顔の美しさの定義は人それぞれ異なり一概に「これが美しい顔の基準だ」とはいえませんが、よく用いられる顔の美しさの基準が「Eライン」です。
「Eライン」とは、顔を横から見たときに鼻と顎の先端を直線に結び、その中に唇が少しだけ引っ込んでいるラインのことです。一方で、口ゴボは鼻と顎の先端を直線に結んだときに唇がラインより前に出ている状態です。
口ゴボになる原因はさまざまですが、口ゴボを放置すると身体に影響を及ぼすことが分かっています。一番は見た目のコンプレックスです。口元がボコッとしていることで「マスクをしないと外出できない」などの悩みを抱える方もいます。
また、口ゴボになると身体の機能にも影響を及ぼします。リスクでも後述しますが、出っ歯は見た目だけでなくさまざまな症状のリスク因子となることから適切な治療が必要です。
口ゴボは、出っ歯などの「上顎前突」と、上顎・下顎の両方が前に飛び出している「上下顎前突」が原因となる場合が多いです。口ゴボの原因は1つではなく、先天的な要因と後天的な要因の2つで起こることが分かっています。
先天性な要因として考えられるのは以下です。
後天性な要因として考えられるのは以下です。
このように、口ゴボになる原因はひとつではありません。特に子どもの頃のクセは歯並びに大きく影響するため、歯が生えそろう時期までに指しゃぶりを辞めるようにしましょう。
歯並びは良くても口ゴボを放置すれば以下のようなリスクがあります。
まず、前述のように口もとが目立つのはチャームポイントと捉える人がいる一方で、コンプレックスになることもあります。外出が億劫になったり、マスクをつけないと落ち着かなかったり、精神的な負担になることもあるでしょう。
次に口ゴボの人は、口を開けた状態になりやすく意識しないと口を閉じるのが難しい場合があります。そうなると、口の中が乾きやすくなってしまい、虫歯や歯周病のリスクが高まります。
そして前歯で食べ物が上手く噛めないと、咀嚼回数が足りないまま飲み込むクセがついて胃腸に負担をかけてしまいます。便秘や下痢、消化不良になりやすいため注意しましょう。
最後に口ゴボになると噛み合わせが悪くなるため顎に負担がかかります。この状態が続くと顎関節症の原因になって、顎の痛みや口が開かないなどの症状が現れます。

口ゴボが気になるときは、マウスピース矯正などで歯列を整えることができます。しかし、矯正治療は基本的に自費診療となるため費用が高額です。矯正治療で後悔しないためにも口ゴボの矯正のメリットとデメリットを理解しておきましょう。
口ゴボを矯正すると以下のようなメリットを得られます。
口ゴボの矯正をすると見た目の改善はもちろん、機能も改善するためさまざまなリスクが低下します。特に虫歯や歯周病、顎関節症のリスクが減るというのは健康的な歯と口腔環境の維持につながります。歳を取っても自分の歯で食事を楽しむためには早期の治療とケアが大切です。
また、口が自然に閉じるようになれば、唾液がしっかりと口の中を潤してくれるため口臭が改善し、風邪や感染症のリスクも低下します。
口ゴボを矯正するとメリットがたくさんある一方で、以下のようなデメリットもあります。
口ゴボの矯正によって歯並びや噛み合わせが整う一方で、完了後の仕上がり違和感を覚えることもあります。治療の前には医師とよく相談し、想定されるリスクについてもしっかり確認しておきましょう。

口ゴボの矯正を成功させるためには、事前の準備も大切です。矯正治療で失敗しないために、以下の5つのポイントを確認するようにしましょう。それぞれのポイントを詳しく解説します。
矯正治療を受けるときは、矯正専門の歯科医師が在籍しているクリニックを選ぶのも大切です。歯列矯正は、歯科医師の資格を持っていれば、専門の資格がなくても治療できます。しかし、専門の資格を持たない医師の中には知識や技術が乏しかったりして、矯正中や矯正後にトラブルが起こることもあります。
そのため、スムーズな治療や完了後の後戻りなどを防ぐためには、クリニックのホームページで矯正専門の医師が在籍しているか確認しましょう。
例えば日本矯正歯科学会が定める「矯正認定医」や「インビザライン認定医」など矯正治療に特化した専門医がいるクリニックであれば、より専門的で細かい治療を受けることができるでしょう。
矯正治療を受ける場合は、治療法ごとにどれぐらいの期間がかかって、どのように歯が動いていくのかを確認しましょう。マウスピース矯正であれば、3Dで完成までのイメージを見ることができます。
自分の歯がどのように動いて、治療完了後にどのような状態になるかを確認することでイメージとの乖離が起こりにくくトラブルも軽減します。自分のイメージと合わないまま治療すると思わぬトラブルにつながるため、契約前の確認は必須です。
ただし、ワイヤー矯正や外科矯正は自分の歯で治療イメージを作成できません。そのため、過去の症例などをしっかり確認しておくようにしましょう。
矯正治療を失敗しないためには、契約前に疑問や不明点を解決しておくことも大切です。治療方法だけでなく、費用や治療期間、矯正治療のリスクなど分からないことがあれば、カウンセリング時にいくらでも質問して構いません。
口ゴボの矯正によくある疑問が「口元が引っ込みすぎないか」というものです。特に裏側矯正は内側に引き込む力が強いため、想定よりも内側に引っ込んでしまったということもあり得ます。そのため、こうしたリスクについてもしっかり質問し、納得してから契約することが大切です。
マウスピース矯正で口ゴボを治したいと思っていても、口ゴボの程度によってはワイヤー矯正の方が良い場合もあります。自分の歯並びに合わない方法で無理に治療をしても、矯正期間が長くなったり、理想通りの歯並びにならなかったりします。
また、健康な歯を抜くことに抵抗があって抜歯をしないまま矯正を進めてしまうと、後戻りしやすくなったり、口ゴボが改善しなかったり、想定よりも歯が動かなかったりすることがあります。
矯正治療の方法によっては装置が目立ってしまうため、なるべく目立たない方法で矯正したいと思うかもしれません。しかし、歯並びや噛み合わせの状況によっては希望が叶わない可能性がある点につい理解しておくことが大切です。
4
口ゴボの矯正中に何か違和感があればすぐに相談しましょう。例えば、「思ったよりも口元が引っ込んでいる気がする」「虫歯ができた」「歯茎が腫れて痛い」などです。
治療が進むにつれて想定よりも口元が引っ込んでいる場合は、そのまま治療を続けてしまうとさらに口元が引っ込んでしまます。仕上がりのイメージが異なると、後悔やトラブルになる原因です。
また、虫歯ができたり歯茎が腫れたりしているにも関わらず次回の診察まで放置していると、より悪化して治療を中断しなければならない可能性もあります。
気になることがあれば、すぐに連絡をしてその都度対応してもらいましょう。

歯並びが整っている口ゴボであっても自力で治すのは難しいです。口ゴボの場合、歯を動かすスペースを確保するために抜歯を必要とする場合も多く、どの歯を抜歯するかは歯科医師が決定します。特に口ゴボは豊富な知識と技術がなくては治療ができません。
また矯正治療は、歯だけでなく骨格や周辺の組織に負担をかけないように緻密に治療計画を立てて行われます。改善のためには必ず歯科医のもとで安全な治療を受けることが大切です。
スマイルモア矯正なら最短3か月、治療期間は3~12か月で、医師やスタッフの手厚いサポートを受けながらマウスピースを使った矯正で歯並びを整えることができます。治療費は税込18.7~42.9万円で、調整料はかかりません。
出っ歯や口ゴボなどの上顎前突も治療可能で、※。前歯12本を重点的に治療します。透明なマウスピースを使うため、治療中の見た目を気にする人にもおすすめです!
スマイルモア矯正の詳細はこちらから!→公式サイト
口ゴボは自分で治すことはできず、放置するとさまざまなリスクを増加させます。そのため、マウスピース矯正やワイヤー矯正などで適切な治療が必要です。治療を成功させるためには、自分に合った治療法を選び疑問を解消した上で契約しましょう。
口ゴボは軽度であればマウスピース矯正で改善します。スマイルモア矯正は透明なマウスピースを使い、最短3か月で治療が完了します。費用を抑えた治療をしたいときはぜひ検討してはいかがでしょうか?