2025-08-12
八重歯は、日本では「かわいらしさ」の象徴と捉えられることもあります。しかし、歯列の乱れが健康や日常生活に影響を与える可能性があるため、矯正を検討する方も出ているのです。
本記事では、八重歯の原因や治療方法、矯正期間と費用、そして治療を放置した際のリスクについて詳しく解説します。八重歯の矯正でより健康的で美しい笑顔を手に入れましょう。
※この記事にはPR情報が含まれます。 ※記事記載の施術の効果効能などには個人差があり保証するものではありません。 ※最新情報は各医院公式サイトにてご確認ください。

この記事の監修医師歯科医師齋藤 博愛 先生
医療法人 誓栄会 千賀デンタルクリニック 副理事長。東京歯科大学 卒業。慶應義塾大学病院歯科・口腔外科研修修了。
日本歯周病学会,日本口腔インプラント学会,日本口腔外科学会所属。

八重歯の主な原因は、顎のスペース不足です。顎が小さいことで歯が並ぶ場所が確保できず、特に犬歯が歯列から外れてしまうことがあります。顎が小さくなる主な原因は下記のとおりです。
・食生活の変化
・遺伝的要因
・口呼吸の習慣
・早期の乳歯喪失
食生活の変化
現代の食生活は、柔らかい食べ物を中心とする傾向があります。幼少期から硬いものを噛む機会が減ると、顎の骨が十分に発達しません。その結果、歯が生えるためのスペースが狭くなり、歯列不正が起こりやすくなります。
遺伝的要因
顎のサイズや形状は遺伝的要因によって決まる部分が大きいです。例えば、親から小さな顎を受け継いだ場合、自然と歯が並びきらない状態になることがあります。また、歯の大きさ自体も遺伝の影響を受けるため、顎に対して歯が大きい場合にはスペースが不足しやすくなります。
口呼吸の習慣
口呼吸は、舌や唇の筋肉の使い方に影響を及ぼし、顎の正常な発育を妨げます。特に成長期の子どもが口呼吸を続けると、顎の形や大きさが適切に成長しない場合があります。これが歯列不正の原因の一つになるのです。
早期の乳歯喪失
乳歯が通常より早く抜けると、隣の歯がそのスペースに移動してしまい、永久歯が生える場所が狭くなります。結果的に永久歯が正しい位置に生えず、八重歯が発生することがあるでしょう。
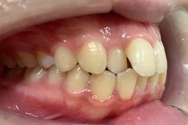
八重歯矯正で八重歯が治った症例を2つ紹介します。以下で「治療前・治療後の症例写真」「治療内容」「費用」「リスク・副作用」などについても解説しますので、八重歯矯正を行うかどうかの参考にしてください。
交叉咬合(クロスバイト)及び下顎のズレを伴う八重歯です。
難しいケースでしたが、インビザラインを用いて約10ヶ月で治療が終了しました。噛み合わせや上下の正中改善することができています。









| 詳細情報 | |
|---|---|
| 費用 | 360,000円(税込396,000円) |
| 治療期間 | 10ヶ月 |
| 治療内容 | マウスピースを用いた歯列矯正 |
| 追加処置 | なし |
※保険適用外の自由診療となります。
※効果や感じ方には個人差があります。
※マウスピース矯正の主なリスク: 虫歯・歯周病・ブラックトライアングル・歯根吸収・歯肉退縮・1日20時間以上のマウスピース装着が必須・マウスピースにより痛みを感じる可能性・治療中に一時的にかみ合わせに不具合をきたす可能性・リテーナーを最低1年間は1日20時間以上装着、その後徐々に着用時間を減らし、2年目以降は夜間のみの着用推奨。
交叉咬合(クロスバイト)伴う八重歯です。
クリアコレクトを用いて、患者様の事情もありやや時間がかかりましたが、約12ヶ月で八重歯を改善することができました。






| 詳細情報 | |
|---|---|
| 費用 | 360,000円(税込396,000円) |
| 治療期間 | 1年 |
| 治療内容 | マウスピースを用いた歯列矯正 |
| 追加処置 | IPR |
※保険適用外の自由診療となります。
※効果や感じ方には個人差があります。
※マウスピース矯正の主なリスク: 虫歯・歯周病・ブラックトライアングル・歯根吸収・歯肉退縮・1日20時間以上のマウスピース装着が必須・マウスピースにより痛みを感じる可能性・治療中に一時的にかみ合わせに不具合をきたす可能性・リテーナーを最低1年間は1日20時間以上装着、その後徐々に着用時間を減らし、2年目以降は夜間のみの着用推奨。

矯正治療では、歯がきれいに並ぶためのスペースを事前に確保することが重要です。八重歯の場合、その前後に隙間が足りないまま治療を進めると、歯が移動しにくくなるだけでなく、噛み合わせにも悪影響を及ぼす恐れがあります。
適切なスペースづくりは、治療期間の短縮と後戻りの防止にもつながるため、矯正前の準備として必ず検討されるべきステップです。
八重歯のスペースが極端に不足しているケースでは、小臼歯の抜歯が必要になることが多いです。特に犬歯(八重歯)は、かみ合わせや顔の印象にも大きく関わる重要な歯であるため、無理に内側へ押し込んだり、前に突出した状態のまま放置するよりも、前後の小臼歯を抜歯してきちんと並べる方が、バランスの取れた歯列に整えることができます。
抜歯を避けて治療を進めた場合、歯列全体が前に出たり、噛み合わせが不自然になることがあるでしょう。結果として、顎関節に負担がかかったり、口元が前に突き出して見える「口ゴボ」のような見た目の変化が起きる可能性が高いです。
また、スペースが足りないまま無理に歯を並べると、歯同士が密接しすぎて歯磨きがしにくくなり、虫歯や歯周病のリスクも高くなります。
こうしたリスクを避けるためにも、必要に応じて抜歯を選択することは、矯正治療における適切な判断のひとつといえるでしょう。
八重歯の度合いがそれほど強くない場合には、歯を削ってスペースを確保する方法もあります。これは「ディスキング」や「IPR(Interproximal Reduction)」と呼ばれる方法で、主に前歯の側面を0.2~0.5mmほど削ることで、歯列全体の横幅をわずかに減らします。
対象となるのは、八重歯を含む前歯やその隣接歯で、上下でバランスを見ながら慎重に行われるのが特徴です。
歯を削るというと抵抗を感じるかもしれませんが、エナメル質のごく一部を削るだけで、歯の健康への影響は最小限です。また、抜歯と異なり歯を残したまま治療できるため、歯並びを整えながらも自然な歯並びを保てます。
ごくわずかなスペースの不足であれば、この方法で十分対応可能なケースも多く、矯正期間の短縮にもつながります。ディスキングは、症例によってはマウスピース矯正と併用されることも多く、比較的軽度な八重歯や叢生の患者さんにとっては、有効な治療選択肢の一つです。

八重歯の矯正にはいくつかの方法があり、それぞれにメリットとデメリットがあります。ここでは、代表的な矯正方法を比較していきます。
| ワイヤー矯正 | マウスピース矯正 |
|---|---|
| 装置が目立つ場合が多いが、透明ブラケットも選択可能 | 透明で目立ちにくい |
| あらゆる症例に対応可能 | 軽度から中程度の症例に対応 |
| 装置による違和感や口内の傷が起きやすいことがある | 違和感が少なく、取り外し可能 |
| 装置が固定されているためケアがやや難しい | 食事や歯磨き時に取り外せる |
| 比較的短期間で効果が出やすい | 期間が長くなる場合もある |
マウスピース矯正は、透明な素材で作られた取り外し可能な装置を使用する方法です。装着していても周囲に気づかれることが少なく、食事や歯磨きの際に取り外せるため、口腔内を清潔に保ちやすいです。
また、矯正期間中もストレスなく生活できるため、仕事や学校など、対面でのコミュニケーションが重要な場面でも安心して使用できます。一方で、治療効果は軽度から中程度の症例に限られるため、複雑な症例には対応できない場合があります。
ワイヤー矯正は、歯の表面に装着したブラケットにワイヤーを通し、歯を理想の位置に動かす方法です。大きな利点は、あらゆる症例に対応可能であることです。抜歯が必要なケースや、八重歯などの複雑な歯列にも適応できます。また、矯正力が強く、計画通りの結果が得やすいのも特徴となります。
ただし、装置が目立つことや、食事や歯磨き時にワイヤーが邪魔になるのがデメリットです。近年では、審美性を考慮した透明ブラケットも登場し、見た目の負担を軽減する選択肢も増えています。
ワイヤー矯正は、歯の表面に装着したブラケットにワイヤーを通し、歯を理想の位置に動かす方法です。大きな利点は、あらゆる症例に対応可能であることです。
抜歯が必要なケースや、八重歯などの複雑な歯列にも適応できます。また、矯正力が強く、計画通りの結果が得やすいのも特徴となります。
ただし、装置が目立つことや、食事や歯磨き時にワイヤーが邪魔になるのがデメリットです。審美性に配慮した透明ブラケットも普及しており、装置の見た目に対する負担を軽減できるようになっています。
さらに目立ちにくさを重視する方には、「ホワイトワイヤー」も選択肢の一つです。これはワイヤー部分に白いコーティングを施すことで、歯の色になじみやすく、従来の金属ワイヤーに比べて装置の印象をやわらげる効果があります。見た目を気にされる社会人や学生の方にも人気のある仕様です。
裏側矯正は、歯の裏側に装置を装着することで、見た目に影響を与えない方法です。特に、審美性を重視する患者に適しています。装置が外から見えないため、日常生活で矯正中であることを気づかれにくいのが大きなメリットです。また、治療の適応範囲が広く、軽度から重度の症例まで対応できます。
一方で、舌に触れる違和感が強いことや、食べ物が装置に詰まりやすいこと、費用が他の矯正方法よりも高額になる傾向があります。これらの点を考慮しながら選択する必要があります。

八重歯の矯正治療を始める際、多くの方が気になるのが治療にかかる期間と費用です。ここでは、代表的な矯正方法ごとの治療期間と費用について詳しく解説します。
八重歯矯正における治療期間は、使用する装置の種類や矯正の範囲によって異なります。以下に主な矯正方法ごとの治療期間を一覧にまとめました。
| マウスピース矯正 | 約1年7か月 |
|---|---|
| ワイヤー矯正(表側) | 約2年7か月 |
| ワイヤー矯正(裏側) | 約2年11か月 |
マウスピース矯正 マウスピース矯正は、透明な装置を装着して歯を動かします。軽度から中等度の八重歯に適しており、治療期間は約1年7か月ほどです。自己管理が重要で、装着時間を守ることで計画通りの治療が可能です。
ワイヤー矯正(表側・裏側) ワイヤー矯正は、高い矯正力を持つため重度の八重歯にも対応可能です。治療期間は表側矯正が約2年7か月、裏側矯正が約2年11か月とやや長めですが、効果的に歯列を整えられます。
インビザライン(抜歯なし・抜歯あり) インビザラインは、患者ごとにカスタマイズされた透明なマウスピースを使用して歯を動かす治療法です。抜歯を行わない場合の治療期間は約1年7か月、抜歯が必要な場合は約1年11か月となります。この方法は、軽度から中等度の八重歯矯正に適しており、装置が目立たないため日常生活への影響が少ない点が特徴です。また、通院頻度が少なくて済むため、忙しい方にも向いています。
八重歯の矯正治療にかかる費用は、治療前、治療中、治療後の各段階に分けられます。それぞれの段階で必要な費用の内訳について解説します。
治療前の費用
治療前には診断や検査が必要です。以下が主な費用項目です。
・カウンセリング料:歯並びの悩みや治療方法について相談する際の費用です。一部の歯科医院では無料で行われる場合もあります。
・精密検査費:レントゲン撮影や歯型の採取、口腔内写真などに必要な費用です。
・診断料:検査結果を基に治療計画を立て、治療期間や必要な装置を説明する費用です。
治療中の費用
治療期間中にかかる主な費用には、以下が含まれます。
・矯正装置費用:矯正装置自体の費用です。
・調整料:矯正装置の調整や定期的な治療管理にかかる費用です。
治療後の費用
矯正治療が終了した後も、保定期間に費用が発生します。
・保定装置料:歯並びを安定させるために使用するリテーナー(保定装置)の費用です。
・メンテナンス料:保定期間中の経過観察や装置の調整費用です。
治療前に歯科医院でしっかりと相談し、費用と治療計画を確認することが重要です。
八重歯の矯正方法には、マウスピース(抜歯あり 75~102万、抜歯なし 40~102万)、表側ワイヤー(抜歯あり 50~126.5万、抜歯なし 50~105.6万)、裏側ワイヤー(抜歯あり 87.5~138万、抜歯なし 110~113.5万)などがあります。
※スマイルモア矯正調べ(17クリニック計533症例を調査)
これらはすべて自由診療であり、保険が適用されず自己負担となる点に注意が必要です。ただし、顎変形症や口唇口蓋裂など、厚生労働省が定める特定の疾患が原因で咬合異常がある場合には、矯正治療が保険適用となることもあります。
八重歯の矯正治療は、症例によっては100万円を超えることもあり、費用面で治療を迷う方も少なくありません。そんなときに利用できるのが「デンタルローン」です。
これは、信販会社が治療費を一括で歯科医院に立て替え、患者さんは毎月一定額を分割で返済していく仕組みです。分割回数は3回〜120回まで選べる場合が多く、月々の負担を軽くできるのが大きなメリットとなります。
金利は年3〜8%前後が一般的で、通常のクレジットカードの分割払いに比べて低めに設定されていることが多いです。また、歯科医院によっては無金利キャンペーンを実施していることもあります。
一方で、審査が必要になるため、すべての方が利用できるとは限りません。また、返済回数を多く設定すればするほど総支払額は増えるため、契約前に総額のシミュレーションを行うことが大切です。計画的に利用することで、経済的な負担を抑えながら希望の治療が受けられます。

八重歯を放置すると、見た目の問題以上に健康や生活の質に悪影響を及ぼす可能性があります。ここでは、特に重要な2つのデメリットについて詳しく解説します。
八重歯があることで歯が重なり合い、歯磨きが行き届かない箇所が生じます。その結果、歯垢や食べかすが溜まりやすくなり、むし歯や歯周病のリスクが高まります。八重歯の部分は特に歯ブラシが届きにくく、セルフケアが難しいため、これらの問題を防ぐには定期的な歯科検診が欠かせません。
むし歯や歯周病は進行すると歯を失うリスクがあるだけでなく、全身の健康にも影響を及ぼす可能性があります。矯正治療によって歯並びを整えることで、口腔内の清掃が容易になり、これらのリスクを大幅に軽減できます。
八重歯は噛み合わせに問題を引き起こすことがあり、それが全身に影響を及ぼす場合があります。正しい噛み合わせができないと、顎関節に負担がかかり、顎関節症や歯の摩耗を引き起こす可能性があるでしょう。また、食べ物をしっかり噛むことができないため、消化器官に負担がかかり、胃腸の不調を招く場合もあります。
さらに、噛み合わせの乱れは肩こりや頭痛の原因にもなるのです。矯正治療により歯列を整えることで、噛み合わせが改善し、これらの体調不良の解消につながります。
八重歯は「かわいらしい」と見られることもありますが、本人にとっては大きなコンプレックスとなる場合があります。笑うときに口元を隠したくなったり、写真を避けがちになったりと、自信のなさが行動にも表れがちです。
特に接客業や就職活動などでは、口元の印象が評価に影響することもあります。さらに、欧米をはじめとする海外では、八重歯が「手入れされていない」「不潔」といったマイナスな印象を与えることがあるため、国際的な視点でも整った歯並びが重要視されています。矯正によって見た目の改善ができれば、自信を取り戻すきっかけにもなるでしょう。
八重歯は犬歯が飛び出すように生えているため、唇や頬の内側、舌などに当たりやすく、口内を傷つけてしまうことがあります。特に食事や会話の際には、口腔内の粘膜が擦れて、口内炎が繰り返しできる原因になることもあるでしょう。
一度できた口内炎は八重歯と擦れることで治りにくくなり、痛みが長引く傾向もあります。慢性的に口腔内の不快感を抱えることで、食事の楽しさや会話のしやすさも損なわれてしまいます。見た目だけでなく、健康面のリスクを避けるうえでも、矯正治療は有効な手段といえるでしょう。

八重歯の矯正を検討している方には、スマイルモア矯正が最適な選択です。当院では、透明なマウスピース矯正を採用しており、治療中でも目立ちにくい点が特長です。この方法なら、人と会う機会が多い方でも自信を持って笑顔を見せられます。また、取り外し可能な設計のため、食事や歯磨きの際の不便さを感じにくいのも魅力です。
スマイルモア矯正では、月額3,000円から始められる柔軟な料金プランをご用意しています。さらに、無料カウンセリングを実施しており、患者さま一人ひとりの口腔状態やライフスタイルに合わせた治療計画を丁寧にご提案します。
八重歯のお悩みを解消し、健康的で美しい口元を手に入れる第一歩として、スマイルモア矯正にぜひご相談ください。
スマイルモア矯正の詳細はこちらから!→公式サイト

八重歯の矯正は、美しい口元を目指すだけでなく、歯の健康を守るためにも重要な治療です。マウスピース矯正やワイヤー矯正など、多様な治療法が用意されており、それぞれにメリットとデメリットがあります。費用や期間も治療法によって異なるため、まずは自分に最適な方法を見極めることが大切です。
八重歯の放置によるデメリットを防ぐためにも、専門の歯科医師によるカウンセリングを受け、自分に合った治療プランを見つけましょう。健康的で自信に満ちた笑顔を手に入れる第一歩を踏み出してみてください。

Process

相談日を予約する(30秒)
少しでも「歯並びを整えたい」と思ったら、ぜひ気軽にご相談ください。

最寄りの医院でお口を詳しくチェック
詳しい診断のために、最寄りの提携医院で、いろいろな検査をします。

歯科医師が詳細を説明
歯科医師が、治療後にどんな歯並びになるかや費用の詳細を説明します。気になることがあれば何でも質問できます。

スマイルモア矯正を始めるか判断
スマイルモア矯正を始める場合は、お申込用紙にご記入いただきます。一旦、お家に持ち帰って検討してももちろんOKです。

クリニックか自宅でマウスピースを
受け取り矯正開始
あなただけのマウスピース装置を製作し、お渡しします。