





| 詳細情報 | |
|---|---|
| 費用 | 170,000円(税込187,000円) |
| 治療期間 | 2ヶ月 |
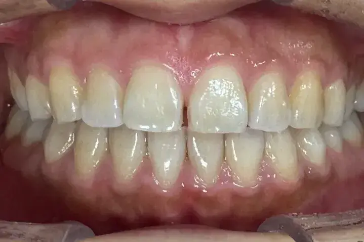
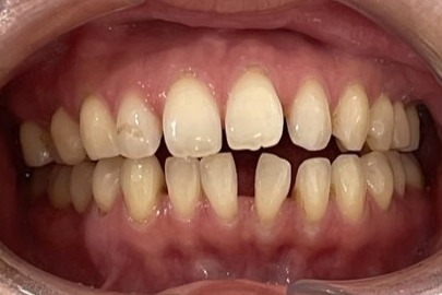
| 治療内容 | マウスピースを用いた歯列矯正 |
| 追加処置 | なし |
※保険適用外の自由診療となります。
※効果や感じ方には個人差があります。
※マウスピース矯正の主なリスク: 虫歯・歯周病・ブラックトライアングル・歯根吸収・歯肉退縮・1日20時間以上のマウスピース装着が必須・マウスピースにより痛みを感じる可能性・治療中に一時的にかみ合わせに不具合をきたす可能性・リテーナーを最低1年間は1日20時間以上装着、その後徐々に着用時間を減らし、2年目以降は夜間のみの着用推奨。









| 詳細情報 | |
|---|---|
| 費用 | 360,000円(税込396,000円) |
| 治療期間 | 6ヶ月 |
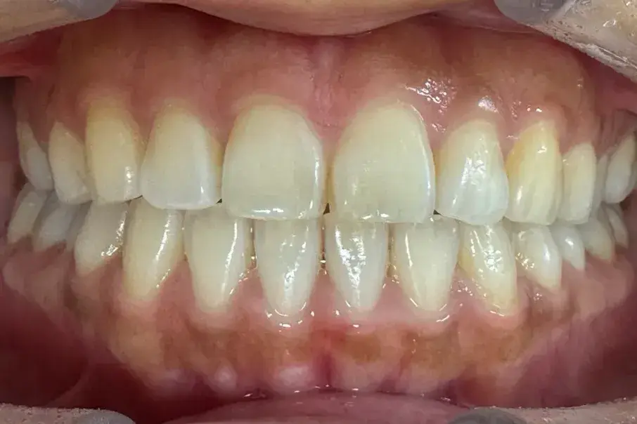
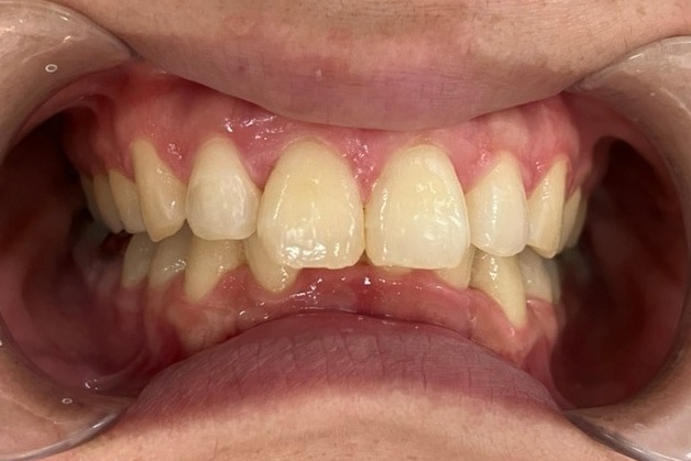
| 治療内容 | マウスピースを用いた歯列矯正 |
| 追加処置 | なし |
※保険適用外の自由診療となります。
※効果や感じ方には個人差があります。
※マウスピース矯正の主なリスク: 虫歯・歯周病・ブラックトライアングル・歯根吸収・歯肉退縮・1日20時間以上のマウスピース装着が必須・マウスピースにより痛みを感じる可能性・治療中に一時的にかみ合わせに不具合をきたす可能性・リテーナーを最低1年間は1日20時間以上装着、その後徐々に着用時間を減らし、2年目以降は夜間のみの着用推奨。








| 詳細情報 | |
|---|---|
| 費用 | 360,000円(税込396,000円) |
| 治療期間 | 1年 |
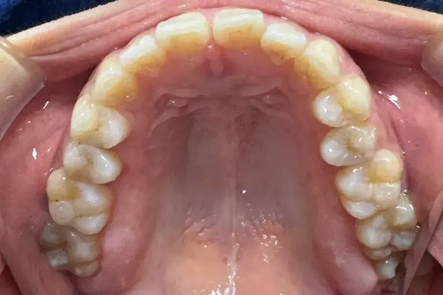
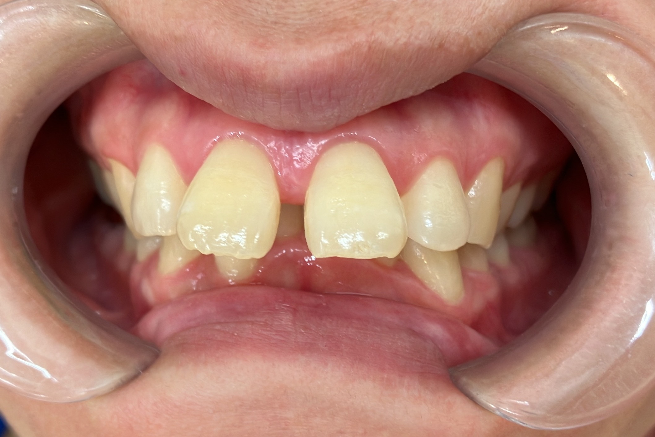
| 治療内容 | マウスピースを用いた歯列矯正 |
| 追加処置 | IPR |
※保険適用外の自由診療となります。
※効果や感じ方には個人差があります。
※マウスピース矯正の主なリスク: 虫歯・歯周病・ブラックトライアングル・歯根吸収・歯肉退縮・1日20時間以上のマウスピース装着が必須・マウスピースにより痛みを感じる可能性・治療中に一時的にかみ合わせに不具合をきたす可能性・リテーナーを最低1年間は1日20時間以上装着、その後徐々に着用時間を減らし、2年目以降は夜間のみの着用推奨。









| 詳細情報 | |
|---|---|
| 費用 | 360,000円(税込396,000円) |
| 治療期間 | 7ヶ月 |
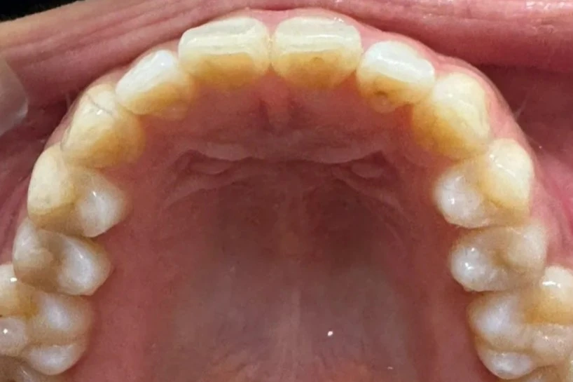
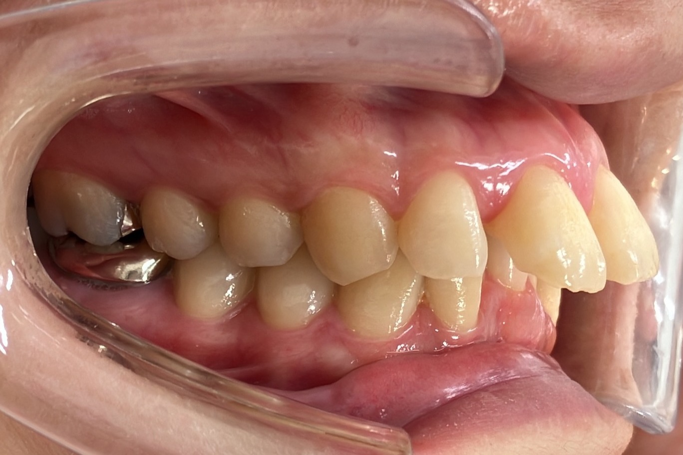
| 治療内容 | マウスピースを用いた歯列矯正 |
| 追加処置 | IPR |
※保険適用外の自由診療となります。
※効果や感じ方には個人差があります。
※マウスピース矯正の主なリスク: 虫歯・歯周病・ブラックトライアングル・歯根吸収・歯肉退縮・1日20時間以上のマウスピース装着が必須・マウスピースにより痛みを感じる可能性・治療中に一時的にかみ合わせに不具合をきたす可能性・リテーナーを最低1年間は1日20時間以上装着、その後徐々に着用時間を減らし、2年目以降は夜間のみの着用推奨。









| 詳細情報 | |
|---|---|
| 費用 | 360,000円(税込396,000円) |
| 治療期間 | 8ヶ月 |
| 治療内容 | マウスピースを用いた歯列矯正 |
| 追加処置 | なし |
※保険適用外の自由診療となります。
※効果や感じ方には個人差があります。
※マウスピース矯正の主なリスク: 虫歯・歯周病・ブラックトライアングル・歯根吸収・歯肉退縮・1日20時間以上のマウスピース装着が必須・マウスピースにより痛みを感じる可能性・治療中に一時的にかみ合わせに不具合をきたす可能性・リテーナーを最低1年間は1日20時間以上装着、その後徐々に着用時間を減らし、2年目以降は夜間のみの着用推奨。









| 詳細情報 | |
|---|---|
| 費用 | 360,000円(税込396,000円) |
| 治療期間 | 10ヶ月 |
| 治療内容 | マウスピースを用いた歯列矯正 |
| 追加処置 | IPR |
※保険適用外の自由診療となります。
※効果や感じ方には個人差があります。
※マウスピース矯正の主なリスク: 虫歯・歯周病・ブラックトライアングル・歯根吸収・歯肉退縮・1日20時間以上のマウスピース装着が必須・マウスピースにより痛みを感じる可能性・治療中に一時的にかみ合わせに不具合をきたす可能性・リテーナーを最低1年間は1日20時間以上装着、その後徐々に着用時間を減らし、2年目以降は夜間のみの着用推奨。









| 詳細情報 | |
|---|---|
| 費用 | 360,000円(税込396,000円) |
| 治療期間 | 8ヶ月 |
| 治療内容 | マウスピースを用いた歯列矯正 |
| 追加処置 | IPR |
※保険適用外の自由診療となります。
※効果や感じ方には個人差があります。
※マウスピース矯正の主なリスク: 虫歯・歯周病・ブラックトライアングル・歯根吸収・歯肉退縮・1日20時間以上のマウスピース装着が必須・マウスピースにより痛みを感じる可能性・治療中に一時的にかみ合わせに不具合をきたす可能性・リテーナーを最低1年間は1日20時間以上装着、その後徐々に着用時間を減らし、2年目以降は夜間のみの着用推奨。









| 詳細情報 | |
|---|---|
| 費用 | 360,000円(税込396,000円) |
| 治療期間 | 6ヶ月 |
| 治療内容 | マウスピースを用いた歯列矯正 |
| 追加処置 | IPR |
※保険適用外の自由診療となります。
※効果や感じ方には個人差があります。
※マウスピース矯正の主なリスク: 虫歯・歯周病・ブラックトライアングル・歯根吸収・歯肉退縮・1日20時間以上のマウスピース装着が必須・マウスピースにより痛みを感じる可能性・治療中に一時的にかみ合わせに不具合をきたす可能性・リテーナーを最低1年間は1日20時間以上装着、その後徐々に着用時間を減らし、2年目以降は夜間のみの着用推奨。









| 詳細情報 | |
|---|---|
| 費用 | 360,000円(税込396,000円) |
| 治療期間 | 7ヶ月 |
| 治療内容 | マウスピースを用いた歯列矯正 |
| 追加処置 | IPR |
※保険適用外の自由診療となります。
※効果や感じ方には個人差があります。
※マウスピース矯正の主なリスク: 虫歯・歯周病・ブラックトライアングル・歯根吸収・歯肉退縮・1日20時間以上のマウスピース装着が必須・マウスピースにより痛みを感じる可能性・治療中に一時的にかみ合わせに不具合をきたす可能性・リテーナーを最低1年間は1日20時間以上装着、その後徐々に着用時間を減らし、2年目以降は夜間のみの着用推奨。









| 詳細情報 | |
|---|---|
| 費用 | 360,000円(税込396,000円) |
| 治療期間 | 8ヶ月 |
| 治療内容 | マウスピースを用いた歯列矯正 |
| 追加処置 | IPR |
※保険適用外の自由診療となります。
※効果や感じ方には個人差があります。
※マウスピース矯正の主なリスク: 虫歯・歯周病・ブラックトライアングル・歯根吸収・歯肉退縮・1日20時間以上のマウスピース装着が必須・マウスピースにより痛みを感じる可能性・治療中に一時的にかみ合わせに不具合をきたす可能性・リテーナーを最低1年間は1日20時間以上装着、その後徐々に着用時間を減らし、2年目以降は夜間のみの着用推奨。









| 詳細情報 | |
|---|---|
| 費用 | 280,000円(税込308,000円) |
| 治療期間 | 5ヶ月 |
| 治療内容 | マウスピースを用いた歯列矯正 |
| 追加処置 | IPR |
※保険適用外の自由診療となります。
※効果や感じ方には個人差があります。
※マウスピース矯正の主なリスク: 虫歯・歯周病・ブラックトライアングル・歯根吸収・歯肉退縮・1日20時間以上のマウスピース装着が必須・マウスピースにより痛みを感じる可能性・治療中に一時的にかみ合わせに不具合をきたす可能性・リテーナーを最低1年間は1日20時間以上装着、その後徐々に着用時間を減らし、2年目以降は夜間のみの着用推奨。









| 詳細情報 | |
|---|---|
| 費用 | 360,000円(税込396,000円) |
| 治療期間 | 6ヶ月 |
| 治療内容 | マウスピースを用いた歯列矯正 |
| 追加処置 | なし |
※保険適用外の自由診療となります。
※効果や感じ方には個人差があります。
※マウスピース矯正の主なリスク: 虫歯・歯周病・ブラックトライアングル・歯根吸収・歯肉退縮・1日20時間以上のマウスピース装着が必須・マウスピースにより痛みを感じる可能性・治療中に一時的にかみ合わせに不具合をきたす可能性・リテーナーを最低1年間は1日20時間以上装着、その後徐々に着用時間を減らし、2年目以降は夜間のみの着用推奨。









| 詳細情報 | |
|---|---|
| 費用 | 360,000円(税込396,000円) |
| 治療期間 | 7ヶ月 |
| 治療内容 | マウスピースを用いた歯列矯正 |
| 追加処置 | なし |
※保険適用外の自由診療となります。
※効果や感じ方には個人差があります。
※マウスピース矯正の主なリスク: 虫歯・歯周病・ブラックトライアングル・歯根吸収・歯肉退縮・1日20時間以上のマウスピース装着が必須・マウスピースにより痛みを感じる可能性・治療中に一時的にかみ合わせに不具合をきたす可能性・リテーナーを最低1年間は1日20時間以上装着、その後徐々に着用時間を減らし、2年目以降は夜間のみの着用推奨。


| 詳細情報 | |
|---|---|
| 費用 | 280,000円(税込308,000円) |
| 治療期間 | 3ヶ月 |
| 治療内容 | マウスピースを用いた歯列矯正 |
| 追加処置 | なし |
※保険適用外の自由診療となります。
※効果や感じ方には個人差があります。
※マウスピース矯正の主なリスク: 虫歯・歯周病・ブラックトライアングル・歯根吸収・歯肉退縮・1日20時間以上のマウスピース装着が必須・マウスピースにより痛みを感じる可能性・治療中に一時的にかみ合わせに不具合をきたす可能性・リテーナーを最低1年間は1日20時間以上装着、その後徐々に着用時間を減らし、2年目以降は夜間のみの着用推奨。

| 詳細情報 | |
|---|---|
| 費用 | 280,000円(税込308,000円) |
| 治療期間 | 4ヶ月 |
| 治療内容 | マウスピースを用いた歯列矯正 |
| 追加処置 | なし |
※保険適用外の自由診療となります。
※効果や感じ方には個人差があります。
※マウスピース矯正の主なリスク: 虫歯・歯周病・ブラックトライアングル・歯根吸収・歯肉退縮・1日20時間以上のマウスピース装着が必須・マウスピースにより痛みを感じる可能性・治療中に一時的にかみ合わせに不具合をきたす可能性・リテーナーを最低1年間は1日20時間以上装着、その後徐々に着用時間を減らし、2年目以降は夜間のみの着用推奨。



| 詳細情報 | |
|---|---|
| 費用 | 360,000円(税込396,000円) |
| 治療期間 | 4ヶ月 |
| 治療内容 | マウスピースを用いた歯列矯正 |
| 追加処置 | なし |
※保険適用外の自由診療となります。
※効果や感じ方には個人差があります。
※マウスピース矯正の主なリスク: 虫歯・歯周病・ブラックトライアングル・歯根吸収・歯肉退縮・1日20時間以上のマウスピース装着が必須・マウスピースにより痛みを感じる可能性・治療中に一時的にかみ合わせに不具合をきたす可能性・リテーナーを最低1年間は1日20時間以上装着、その後徐々に着用時間を減らし、2年目以降は夜間のみの着用推奨。


| 詳細情報 | |
|---|---|
| 費用 | 360,000円(税込396,000円) |
| 治療期間 | 4ヶ月 |
| 治療内容 | マウスピースを用いた歯列矯正 |
| 追加処置 | なし |
※保険適用外の自由診療となります。
※効果や感じ方には個人差があります。
※マウスピース矯正の主なリスク: 虫歯・歯周病・ブラックトライアングル・歯根吸収・歯肉退縮・1日20時間以上のマウスピース装着が必須・マウスピースにより痛みを感じる可能性・治療中に一時的にかみ合わせに不具合をきたす可能性・リテーナーを最低1年間は1日20時間以上装着、その後徐々に着用時間を減らし、2年目以降は夜間のみの着用推奨。






| 詳細情報 | |
|---|---|
| 費用 | 360,000円(税込396,000円) |
| 治療期間 | 5ヶ月 |
| 治療内容 | マウスピースを用いた歯列矯正 |
| 追加処置 | なし |
※保険適用外の自由診療となります。
※効果や感じ方には個人差があります。
※マウスピース矯正の主なリスク: 虫歯・歯周病・ブラックトライアングル・歯根吸収・歯肉退縮・1日20時間以上のマウスピース装着が必須・マウスピースにより痛みを感じる可能性・治療中に一時的にかみ合わせに不具合をきたす可能性・リテーナーを最低1年間は1日20時間以上装着、その後徐々に着用時間を減らし、2年目以降は夜間のみの着用推奨。