千賀デンタルクリニック 名古屋パルコ医院

10:00 - 14:00(午前最終受付13:30)
15:00 - 19:00(午後最終受付18:30)
休診日:年中無休 ※ビル休館日に準ずる
地下鉄 矢場町駅 徒歩2分









| 詳細情報 | |
|---|---|
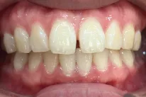
| 費用 | 360,000円(税込396,000円) |
| 治療期間 | 3ヶ月 |
| 治療内容 | マウスピースを用いた歯列矯正 |
| 追加処置 | IPR |
※保険適用外の自由診療となります。
※効果や感じ方には個人差があります。
※マウスピース矯正の主なリスク: 虫歯・歯周病・ブラックトライアングル・歯根吸収・歯肉退縮・1日20時間以上のマウスピース装着が必須・マウスピースにより痛みを感じる可能性・治療中に一時的にかみ合わせに不具合をきたす可能性・リテーナーを最低1年間は1日20時間以上装着、その後徐々に着用時間を減らし、2年目以降は夜間のみの着用推奨。






| 詳細情報 | |
|---|---|
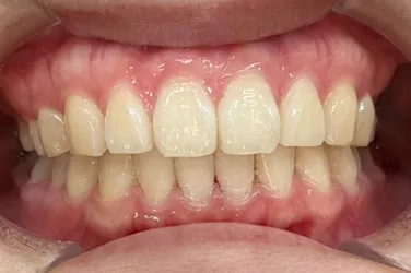
| 費用 | 360,000円(税込396,000円) |
| 治療期間 | 5ヶ月 |
| 治療内容 | マウスピースを用いた歯列矯正 |
| 追加処置 | なし |
※保険適用外の自由診療となります。
※効果や感じ方には個人差があります。
※マウスピース矯正の主なリスク: 虫歯・歯周病・ブラックトライアングル・歯根吸収・歯肉退縮・1日20時間以上のマウスピース装着が必須・マウスピースにより痛みを感じる可能性・治療中に一時的にかみ合わせに不具合をきたす可能性・リテーナーを最低1年間は1日20時間以上装着、その後徐々に着用時間を減らし、2年目以降は夜間のみの着用推奨。
透明だから気づかれにくい
透明な素材を利用しているため装着中も周囲にほとんど気づかれません。 いざというときには自分で取り外しも簡単にできます。
いつでも取り外し可能
いつでも簡単に取り外せるので、デートや大事な食事のときなどは外せばいつもどおりに食事が楽しめます。
※1日20時間以上の装着が必要です
痛みを感じづらく快適
マウスピース矯正はそれぞれの歯に適切な力を加えるのでワイヤー矯正に比べて痛みが少ない上に口内炎にもなりづらく快適です。
※個人差があります
通院は3ヶ月に一度でもOK
ほとんどの医院は月1回の通院が普通。スマイルモア矯正は、一人ひとりのお口の状況に合わせてオーダーメイドで作るので、3ヶ月に1度の通院で大丈夫です!
期間は3~12ヶ月と短期間
一般的な矯正は1年半〜2年かかります。スマイルモア矯正なら3~12ヶ月で矯正が完了することがほとんどです。
※お口の状況やゴール設定で前後します
千賀デンタルクリニック 名古屋パルコ医院 院長
尾関

はじめまして、千賀デンタルクリニック 名古屋パルコ医院の院長、尾関と申します。
当院では、一人ひとりの患者様に最適な矯正治療を提供することで、本当に満足できる結果を目指しています。
無料相談も実施中ですので、お気軽にご連絡ください。
