スマイルモア採用チーム
※プライバシー保護のため、実際のご本人ではなくAIによるイメージです
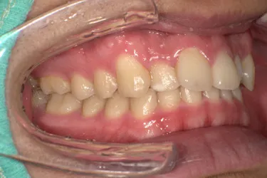
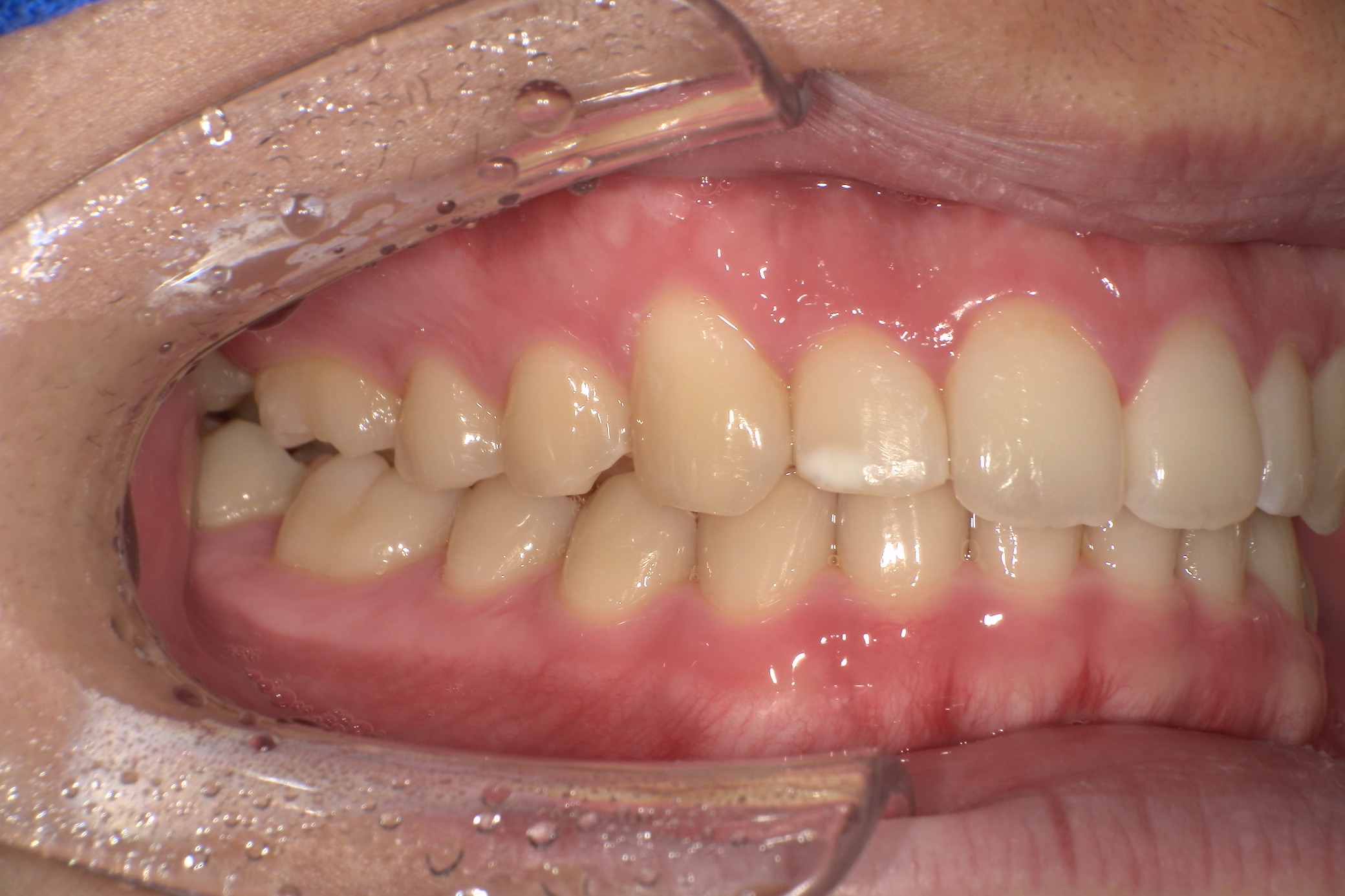
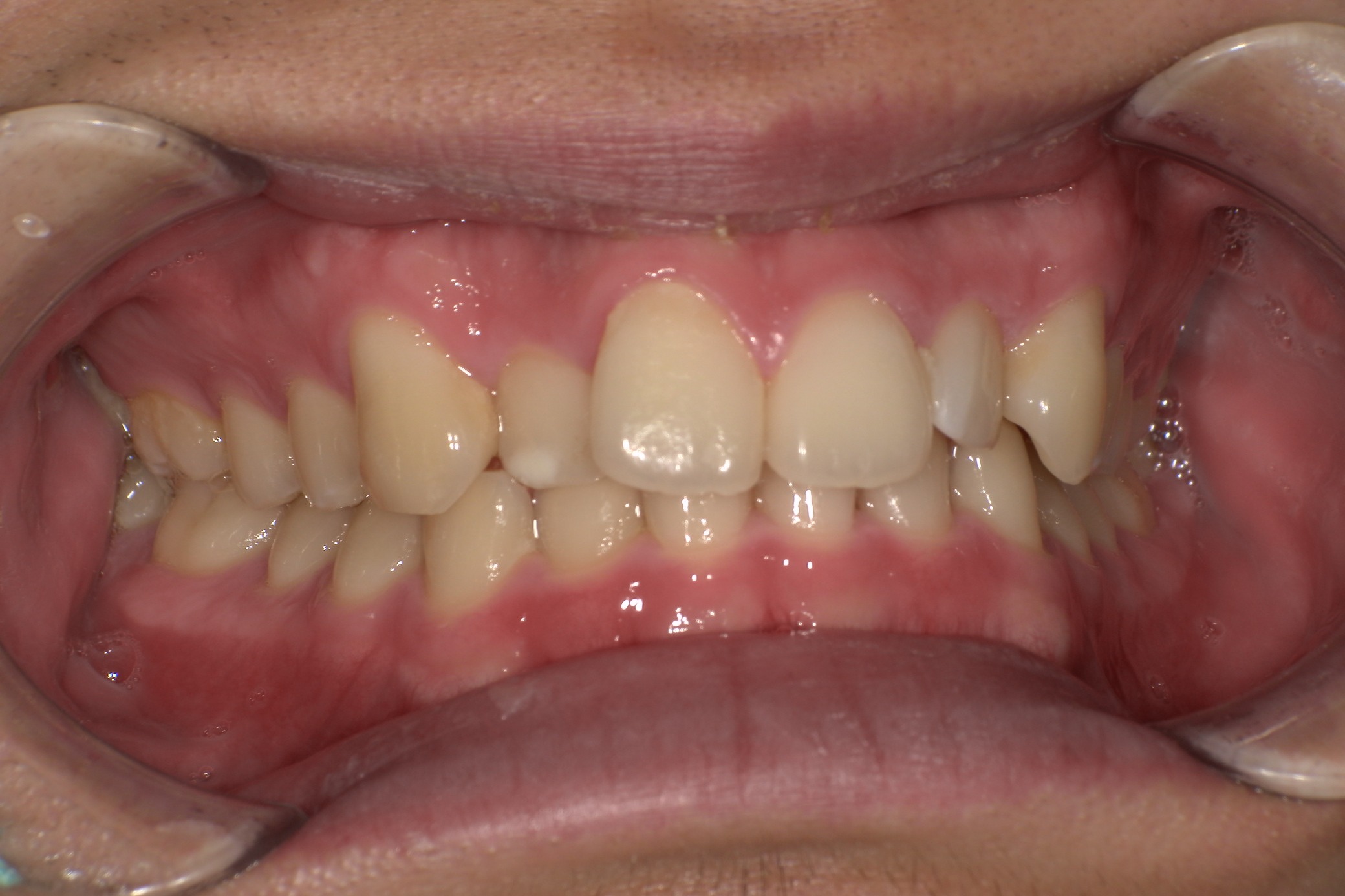
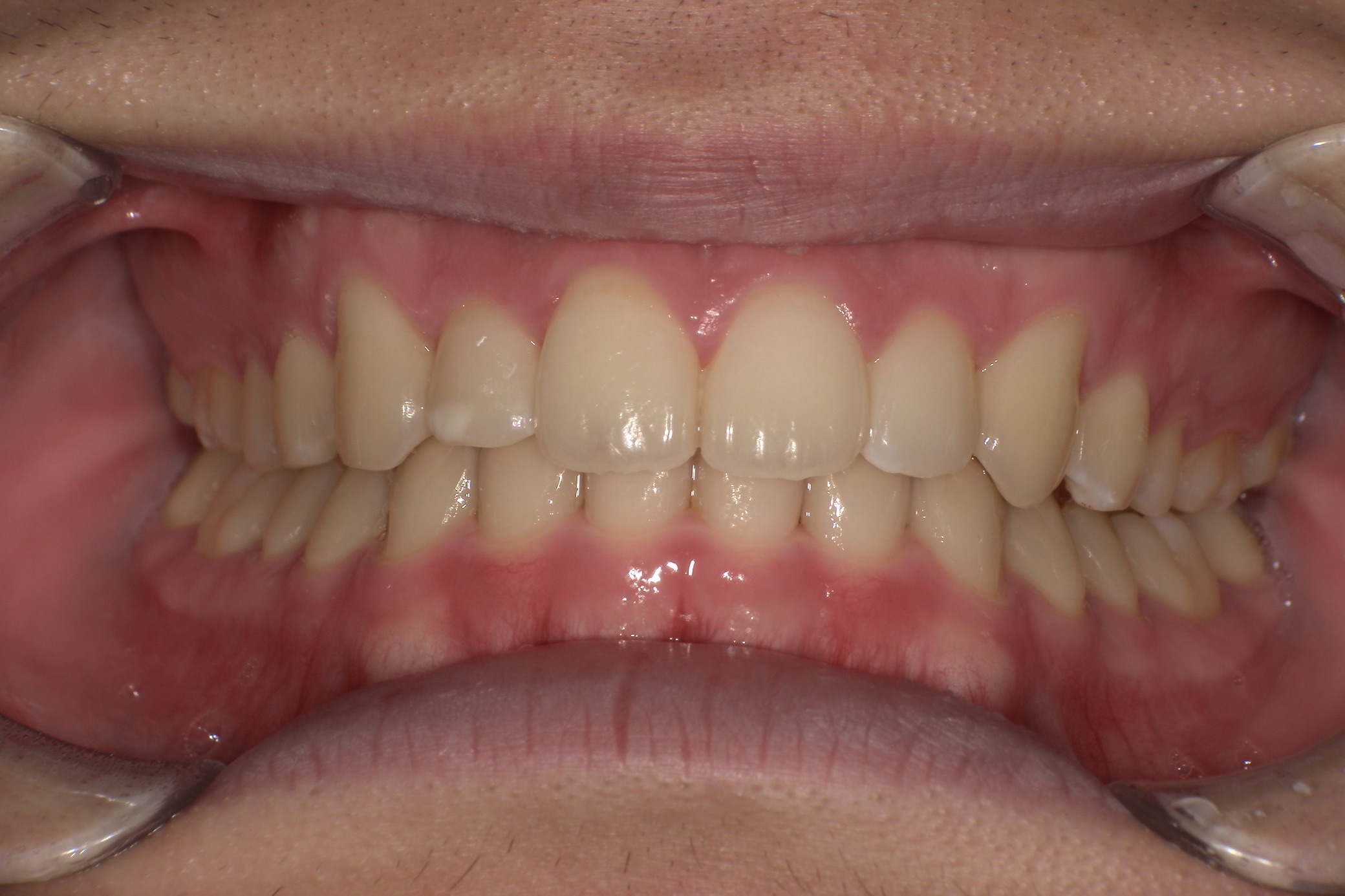
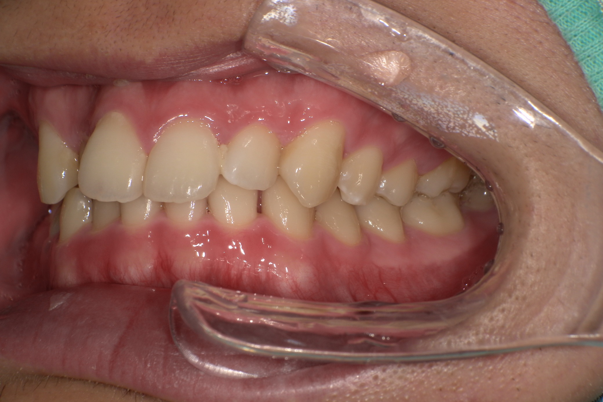
歯並びがコンプレックスで友人と写真を撮る際も気にしてしまっていたという20歳の男子大学生I.T.様にのI.T.様。始めやすい価格と目立ちにくさからスマイルモア矯正を選び、自信を持って笑えるようになった経緯を伺いました。
こんにちは、スマイルモア矯正 採用チームです!
スマイルモア矯正では、採用活動の一環として、実際にご利用いただいた方のリアルな声を紹介しています。
私たちの想いや大切にしていることを、未来の仲間にも知ってもらえたら嬉しいです。









| 詳細情報 | |
|---|---|
| 費用 | 360,000円(税込396,000円) |
| 治療期間 | 6ヶ月 |
| 治療内容 | マウスピースを用いた歯列矯正 |
| 追加処置 | IPR |
※保険適用外の自由診療となります。
※効果や感じ方には個人差があります。
※マウスピース矯正の主なリスク: 虫歯・歯周病・ブラックトライアングル・歯根吸収・歯肉退縮・1日20時間以上のマウスピース装着が必須・マウスピースにより痛みを感じる可能性・治療中に一時的にかみ合わせに不具合をきたす可能性・リテーナーを最低1年間は1日20時間以上装着、その後徐々に着用時間を減らし、2年目以降は夜間のみの着用推奨。
矯正を始めようと思ったきっかけを教えてください。
長年、自分の歯並びにコンプレックスがあり、友人と写真を撮るときもいつも歯並びを気にしてしまっていたんです。自信を持って笑えないことが一番の悩みでした。 この悩みを解消し、将来的な歯や口の健康も考えて、矯正を始めようと思いました。
矯正治療を選ぶ際に何か悩まれたことはありますか?
一番悩んだのは、一日のほとんどをマウスピースをつけて生活しなければならないことです。食事や歯磨きのたびに取り外す手間や慣れるまでの違和感が少し心配でした。 それから、マウスピースをつけることで話しにくくなったり、見た目が変化するのも、少しだけ不安に感じていましたが、透明で目立ちにくいということを聞き、日常生活への影響もあまりなさそうだと思いました。
最終的にスマイルモア矯正を選んだ理由は何だったのでしょうか?
矯正費用のなかでは比較的始めやすい価格だったことが決め手でした。 特に学生の私にとって費用が抑えられる点は本当に大きな魅力で、無理なく続けられると感じました。 また、通院回数が少なく、忙しいなかでも矯正を進めやすい点も私に合っていると思い、最終的にスマイルモア矯正を選びました。
矯正前、不安に感じていた食事の際に外す手間などは実際いかがでしたか?
飲食のたびに取り外しと歯磨きが必要になり、気軽に食べることが難しかったです。 特に外出時は歯磨きのタイミングを考えなければならないので、少し面倒に感じることもありました。 でもそのおかげで間食の回数が減り、結果的に食生活が整ったと前向きにとらえています。
その他、矯正で良かったことはありますか?
ワイヤー矯正と違って透明なマウスピースなので、見た目を気にせず矯正できるので、ストレスが少なく続けることができました。 取り外しが可能なので、食事の制限が少なく、歯磨きもしやすい点も魅力だと思います。
矯正が終わってみて、今はどのようなお気持ちですか?
本当にやって良かったの一言です。 長年のコンプレックスだった歯並びが整い、今は自信を持って笑えるようになりました。 矯正中は間食しにくいなどの不便もありましたが、慣れてしまえば負担には感じず、むしろ生活習慣の改善にもつながりました。 仕上がりを鏡で見るたびに嬉しくなり、思い切って始めて良かったと心から思います!
改めてスマイルモアを選んで良かったと思うところはどんなところですか?
学生の自分でも無理のない価格で矯正ができたこと、目立ちにくいマウスピースのおかげで周囲を気にせず続けられたことです。 通院回数が少なく、自分のペースで進めることができたのも大きな魅力でした。 何より、実際に歯並びが綺麗になり、自信を持って笑えるようになったことで、スマイルモア矯正を選んで良かったと感じています。
現在、スマイルモアでは一緒に働く仲間を募集しております。 マウスピース矯正を通じて、一人でも多くの人が自信を持って笑えるようになる喜びを分かち合いませんか?
スマイルモア矯正では働く仲間を募集しています!
採用ページはこちら!