スマイルモア採用チーム
※プライバシー保護のため、実際のご本人ではなくAIによるイメージです
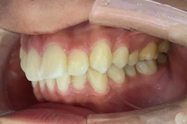
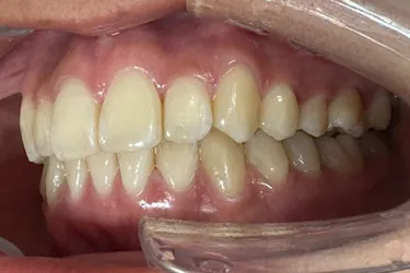
歯のガタつきを治し、自信を持って笑いたいと考えていた20歳女子大生のN.M.様。 最終的にスマイルモア矯正を選んだN.M.様に治療の感想を伺いました。
こんにちは、スマイルモア矯正 採用チームです!
スマイルモア矯正では、採用活動の一環として、実際にご利用いただいた方のリアルな声を紹介しています。
私たちの想いや大切にしていることを、未来の仲間にも知ってもらえたら嬉しいです。









| 詳細情報 | |
|---|---|
| 費用 | 360,000円(税込396,000円) |
| 治療期間 | 1年3ヶ月 |
| 治療内容 | マウスピースを用いた歯列矯正 |
| 追加処置 | IPR |
※保険適用外の自由診療となります。
※効果や感じ方には個人差があります。
※マウスピース矯正の主なリスク: 虫歯・歯周病・ブラックトライアングル・歯根吸収・歯肉退縮・1日20時間以上のマウスピース装着が必須・マウスピースにより痛みを感じる可能性・治療中に一時的にかみ合わせに不具合をきたす可能性・リテーナーを最低1年間は1日20時間以上装着、その後徐々に着用時間を減らし、2年目以降は夜間のみの着用推奨。
ー矯正を始めようと思ったきっかけは何だったのでしょうか?
歯のガタつきが気になっていたことがきっかけです。 片方の前歯が少し出っ張っているため均等にそろえ、笑ったときなどに自信を持って歯を見せられるようになりたいと思い、矯正を始めました。
ー矯正治療を選ぶにあたって、重視したことはありますか?
初めての矯正だったので、予約が取りやすいか、治療にどのくらいの費用がかかるのか、信頼できるかの3点を特に重視しました。 また、自宅から通いやすいかどうか、実際に治療を受けた患者さんの口コミ評価なども参考にしていました。
ー最終的にスマイルモア矯正に決めた理由は何だったのでしょうか?
一番大きかったのは、自宅から通いやすい場所に提携の歯科医院があったことと、治療費用が他の医院と比較してもお手頃で、無理なく支払うことができそうだったことです。 その上で、治療の出来栄えについても事前に検索し、自分の理想の歯並びに近づけそうだという期待感を持てたことも納得して決めるための重要なポイントでした。
ー実際にマウスピース矯正を初めてみて、大変だったことはありますか?
外出するときは、人前で外したり洗ったりするのが面倒で、つい自宅に置いていきたくなることもありました。 また、疲れて寝てしまい、マウスピースを付け忘れてしまったことも数回あります。 でも、歯並びが少しずつ綺麗になっていくのを実感できると、きちんと装着しようという意識が高まり、多少の手間があっても理想の歯並びに向かって頑張ることができました。
ーマウスピースの良い点はありましたか?
マウスピースが透明なため目立たず、付けているのが分からないのが良かったです。 また、ワイヤー矯正と比べて値段もお手頃で、痛みもあまり感じず、付けやすかったです。
ー矯正後に変化はありましたか?
早い段階で正しい歯並びになったと感じています。 マウスピースを付けている際も痛みを感じず、楽に治療することができました。 即効性と効果を感じられたので、矯正して良かったです。
ースマイルモアを選んで良かったと思うことはどんなことですか?
担当の先生が真剣に悩みや要望に耳を傾けてくれたので、安心して治療を継続することができました。 確実な効果を得られるのが早いにもかかわらず、価格も良心的で誰でも受けやすいスマイルモア矯正を選んで良かったと思います。
私たちは、手軽な費用で矯正を提供することで、多くの人に笑顔を届けたいと考えております。 こうした想いに共感し、共に歩んでくれる方を募集しています。
スマイルモア矯正では働く仲間を募集しています!
採用ページはこちら!