スマイルモア採用チーム
※プライバシー保護のため、実際のご本人ではなくAIによるイメージです
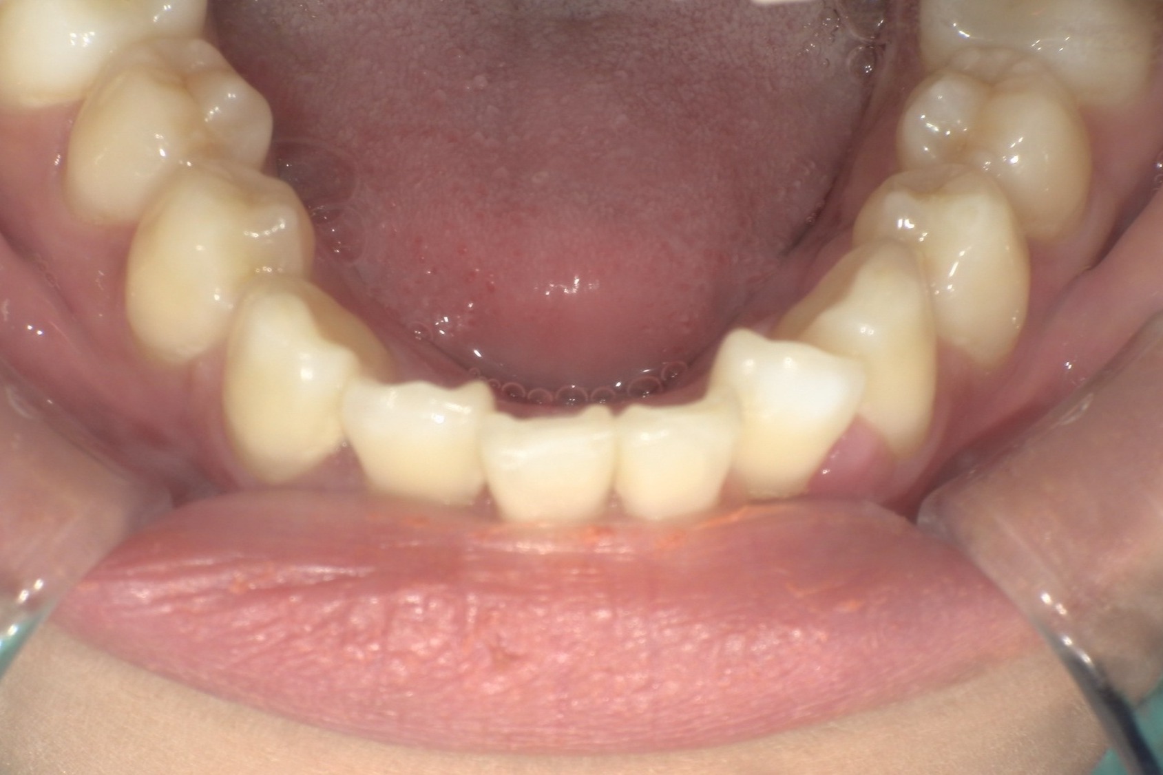
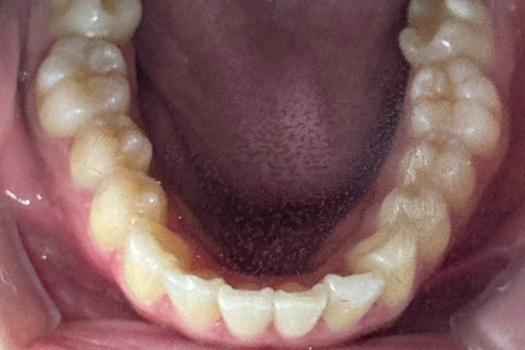
透明なマウスピースで周囲に気づかれにくく、ご自身の生活スタイルに合わせて矯正を進められた22歳の女子大生のT.K.様。 「友人にもおすすめしたい」と感じたスマイルモア矯正のメリットを伺いました。
こんにちは、スマイルモア矯正 採用チームです!
スマイルモア矯正では、採用活動の一環として、実際にご利用いただいた方のリアルな声を紹介しています。
私たちの想いや大切にしていることを、未来の仲間にも知ってもらえたら嬉しいです。

ー矯正を始めようと思ったきっかけは何だったのでしょうか?
透明なマウスピースを使うことで目立ちにくく、値段も手頃に矯正ができると知り、気になったのがきっかけです。 コロナ明けではありましたが、まだマスクをする機会も多かったので、このタイミングなら周りの目を気にせず矯正を始められると思い、決断しました。
ー矯正をするにあたって心配な点などはありませんでしたか?
大学院に進学し、授業が忙しくなる時期だったので、どのくらいの頻度で通院しなければいけないのかという点は少し懸念していました。 また、従来の矯正と比較したら手頃になっているとはいえ、決して安くない金額なのでしっかりと効果がでることを期待してました。
ースマイルモア矯正に決めた理由は何でしたか?
実際に医院で相談に行ったところ、1年未満の短期間で矯正が終わること、マウスピースの取り外しができることなどのメリットを教えていただきました。 また、診ていただいたところ抜歯の必要がなかったためスムーズに矯正を開始できること、マウスピースで目立たずに矯正できるという点に魅力を感じ、最終的にスマイルモア矯正に決めました。
ー実際に矯正を行ってみていかがでしたか?
矯正に関する大きなトラブルはなかったのですが、親知らずが出てきてしまい、痛みや炎症が起きてしまう時期がありました。 そうしたときは、矯正の診察と歯の治療を同時に進めてくださったおかげで、すぐに解決できたのがとても心強かったです。
ー矯正を行って良かった点はありますか?
マウスピース矯正はワイヤー矯正よりも値段が抑えられることや、卒業式やイベントごとで写真を撮る機会が多いときには一時的に外すことができることが魅力であると感じています。 自分の生活スタイルに合わせながら続けることができ、周りの人にも「矯正してたの?」と驚かれるほど目立たず歯並びを改善できるのがとても良かったです。
ースマイルモア矯正で良かったと感じる点は何かありますか?
いつも同じ衛生士さんが担当してくださり、型を採って一緒に進捗を確認してくれていたので、客観的に効果が出ていることを認識できました。 歯を磨くときやご飯を食べるときにはマウスピースを外すことができたので、矯正をしている不自由さを感じず過ごすことができました。 総じて、気軽に矯正を始めやすいと実感しており、周りの友達にもスマイルモア矯正が良かったと紹介しています。
この度、一緒に働く仲間を募集しております。 スマイルモア矯正をより多くの人に届けていきたいという想いに共感いただける方は、ぜひご応募ください。
スマイルモア矯正では働く仲間を募集しています!
採用ページはこちら!