スマイルモア採用チーム
※プライバシー保護のため、実際のご本人ではなくAIによるイメージです
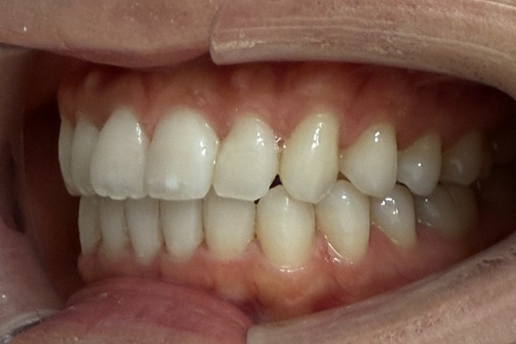
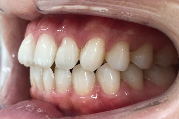
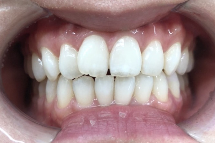
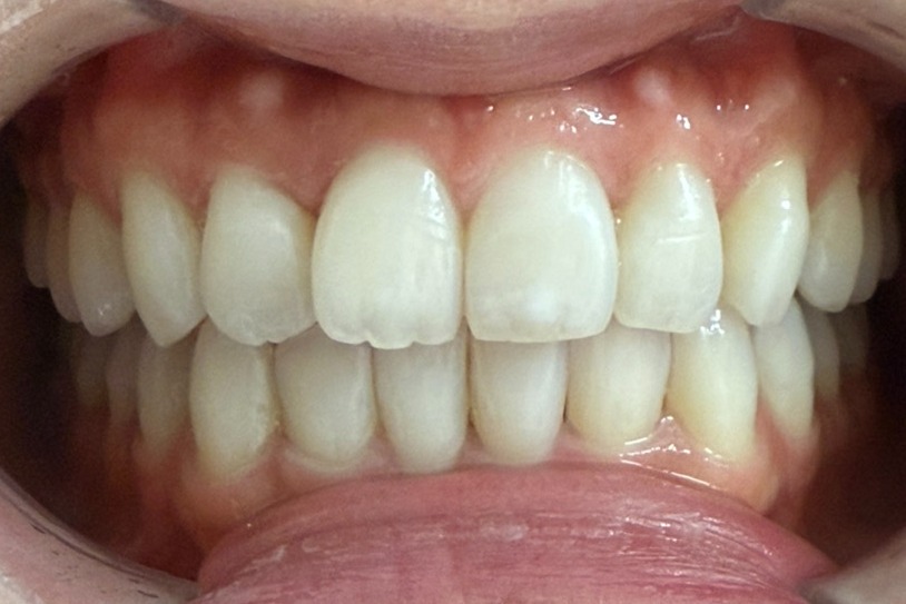
前歯の捻じれが気になり、全体的に綺麗な歯並びを目指すT.A.様。 綺麗な歯並びを手に入れるまでの経緯や感想について伺いました。
こんにちは、スマイルモア矯正 採用チームです!
スマイルモア矯正では、採用活動の一環として、実際にご利用いただいた方のリアルな声を紹介しています。
私たちの想いや大切にしていることを、未来の仲間にも知ってもらえたら嬉しいです。






| 詳細情報 | |
|---|---|
| 費用 | 360,000円(税込396,000円) |
| 治療期間 | 8ヶ月 |
| 治療内容 | マウスピースを用いた歯列矯正 |
| 追加処置 | IPR |
※保険適用外の自由診療となります。
※効果や感じ方には個人差があります。
※マウスピース矯正の主なリスク: 虫歯・歯周病・ブラックトライアングル・歯根吸収・歯肉退縮・1日20時間以上のマウスピース装着が必須・マウスピースにより痛みを感じる可能性・治療中に一時的にかみ合わせに不具合をきたす可能性・リテーナーを最低1年間は1日20時間以上装着、その後徐々に着用時間を減らし、2年目以降は夜間のみの着用推奨。
ー矯正を始めたきっかけは何だったのでしょうか?
もともと歯並びはそこまで悪い方ではなかったのですが、上の前歯が少し捻じれているのが気になっていました。 どうせなら全体的に綺麗な歯並びにしたいと思い、思い切って矯正を始めてみようと思いました。
ー矯正を始めるにあたって不安なことはありませんでしたか?
初めての矯正だったので、痛みはないか、予算内で矯正できるか、期間が長すぎないか、日常生活で大きなストレスにならないかなどは不安に感じていました。 矯正は将来的なむし歯予防にも効果的だと思うのですが、どうしても費用が高額になるイメージがあったので、無理なく支払える金額であるかも懸念していました。 こうした不安要素は多くあったのですが、医院で相談したところ、疑問や心配事について丁寧に回答いただき、これなら安心して始められると思い、踏み切ることができました。
ー最終的にスマイルモア矯正に決めた理由はなんでしたか?
スマイルモア矯正は、Instagramで実際にやってる方がいて初めて知りました。 これまで矯正というとワイヤー矯正のイメージが強かったのですが、マウスピースで取り外しができ、比較的安価に矯正ができるということを知り、興味を持ちました。 医院でカウンセリングを受けた結果、マウスピースでの矯正が治療の適用であることもわかり、期間や予算も踏まえて最終的にスマイルモア矯正に決めました。
ー矯正を行ってみていかがでしたか?
マウスピース矯正は取り外しができるため、歯ブラシや食事にも影響がない点がとても良かったです。 食事はどうしても毎日のことなので、制限があるととても苦痛になりますが、その点は全くストレスを感じませんでした。 装着時間を守ることさえ徹底すれば期間通りに矯正が終わるのも良かったです。
ー実際、矯正が終わってみて変化はありましたか?
最初に気になっていたのは上の前歯の捻じれでしたが、マウスピースで上下全体の歯並びが綺麗になったことが本当に嬉しかったです。 まだリテーナーを装着し歯並びを安定させる期間が残っていますが、今後もこの綺麗な状態を維持できたら良いなと思っています。
ースマイルモア矯正をどのような人におすすめしたいですか?
私のように、費用を抑えつつも歯並びを綺麗にしたいと考えている方には、本当に良い選択肢だと思います。 食事制限等なく手軽に矯正を始めることができますし、痛みも比較的少ないため、矯正に不安を感じている方でもあまり負担にならずに理想の歯並びに近づけることができると思います。 少しでも歯並びが気になるという方にはぜひおすすめしたいです。
スマイルモアでは、共に成長できる仲間を募集しております。 一人でも多くの人が、心からの笑顔で日々を送れるように。そんな社会を、共に目指しませんか。
スマイルモア矯正では働く仲間を募集しています!
採用ページはこちら!