スマイルモア採用チーム
※プライバシー保護のため、実際のご本人ではなくAIによるイメージです
元々歯にコンプレックスがあり、子どものお友達から「なんで歯曲がっているの?」と言われた経験を持つ飲食業で働く37歳女性のM.E.様。 矯正を経て、周囲から「綺麗になった」と言われた際の喜びやお気持ちの変化について伺いました。
こんにちは、スマイルモア矯正 採用チームです!
スマイルモア矯正では、採用活動の一環として、実際にご利用いただいた方のリアルな声を紹介しています。
私たちの想いや大切にしていることを、未来の仲間にも知ってもらえたら嬉しいです。






| 詳細情報 | |
|---|---|
| 費用 | 360,000円(税込396,000円) |
| 治療期間 | 10ヶ月 |
| 治療内容 | マウスピースを用いた歯列矯正 |
| 追加処置 | IPR |
※保険適用外の自由診療となります。
※効果や感じ方には個人差があります。
※マウスピース矯正の主なリスク: 虫歯・歯周病・ブラックトライアングル・歯根吸収・歯肉退縮・1日20時間以上のマウスピース装着が必須・マウスピースにより痛みを感じる可能性・治療中に一時的にかみ合わせに不具合をきたす可能性・リテーナーを最低1年間は1日20時間以上装着、その後徐々に着用時間を減らし、2年目以降は夜間のみの着用推奨。
ー矯正を始めようと思ったきっかけは何だったのでしょうか?
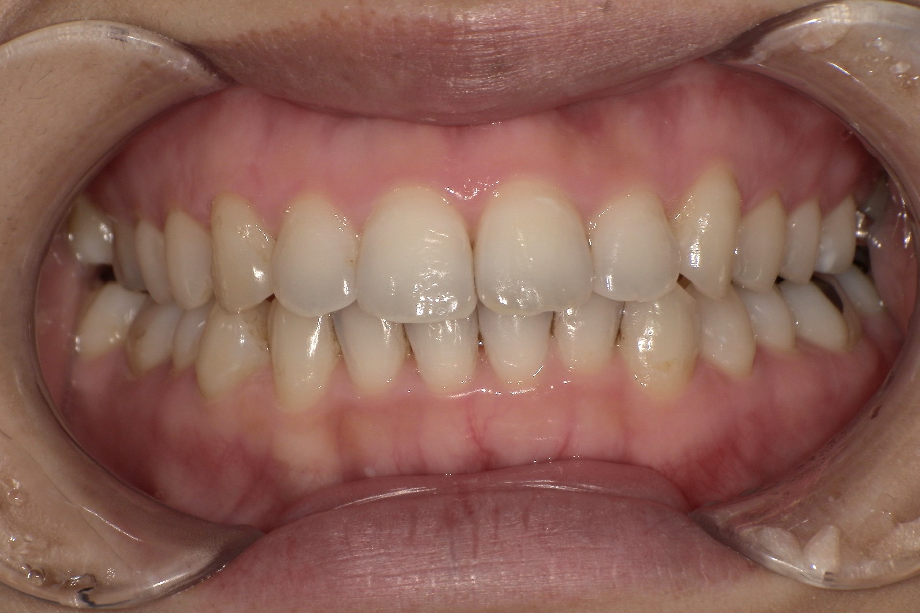
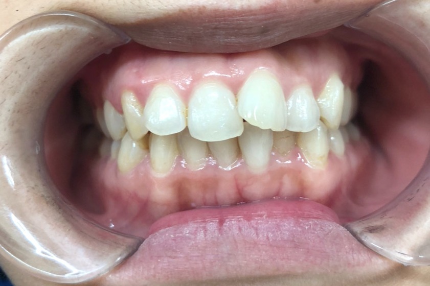
写真に写る自分の歯並びを見るのが本当に嫌なくらい、ガタガタした歯並びが気になっていました。 子どものお友達にも「何で歯が曲がっているの?」と聞かれたこともあるくらいです。 30代後半で年齢は重ねていましたが、やはりコンプレックスを治したいと思うようになり、矯正しようと決意しました。
ー数ある矯正方法のなかから、スマイルモア矯正を選ばれた理由は何だったのでしょうか?
仕事が忙しいなかでも通えることを重視していたため、まずは自分が通いやすい駅で歯科を探していました。 部分矯正で治せるならマウスピース矯正が良いなと思い調べているなかで、スマイルモア矯正を見つけ、値段も手頃で、痛みも少ないというところに惹かれ、最終的に決めました。
ー懸念していた矯正中の痛みは実際どのくらいでしたか?
最初はマウスピースをはめるのも大変で、ずっと装着できるか不安はありました。 マウスピースを新しいものに変えるたび、少し痛みはありましたがこれで歯が動いていると思うと我慢できるくらいでした。
ー矯正を終えてみていかがでしたか?
「やって良かった」の一言に尽きます。 家族にも「綺麗になったね」と言ってもらえましたし、写真も口を開けてにっこりと撮ることができるようになりました。 実際にビフォーアフターの写真を見比べてみると、短期間でここまで歯が動くのかと実感できました。 こんなに短期間で矯正が終わるとは思っていなかったので、とても驚いています。
ースマイルモア矯正を選んで良かったと思うことは何かありますか?
まず一番は、金額が他の矯正治療と比べて非常に安いことです。 もちろん、さらに低価格のマウスピース矯正も見かけましたが、しっかりとカウンセリングから経過観察まで歯医者さんで診ていただけるという点が何より安心できました。 費用を抑えつつ、専門的な知識とサポートを受けられる安心感は、スマイルモア矯正ならではの魅力だと感じています。
現在スマイルモアでは、一緒に働く人を募集しております。 スマイルモアを通じてより多くの人に笑顔を届ける喜びを、私たちと一緒に分かち合いませんか?
スマイルモア矯正では働く仲間を募集しています!
採用ページはこちら!