スマイルモア採用チーム
※プライバシー保護のため、実際のご本人ではなくAIによるイメージです
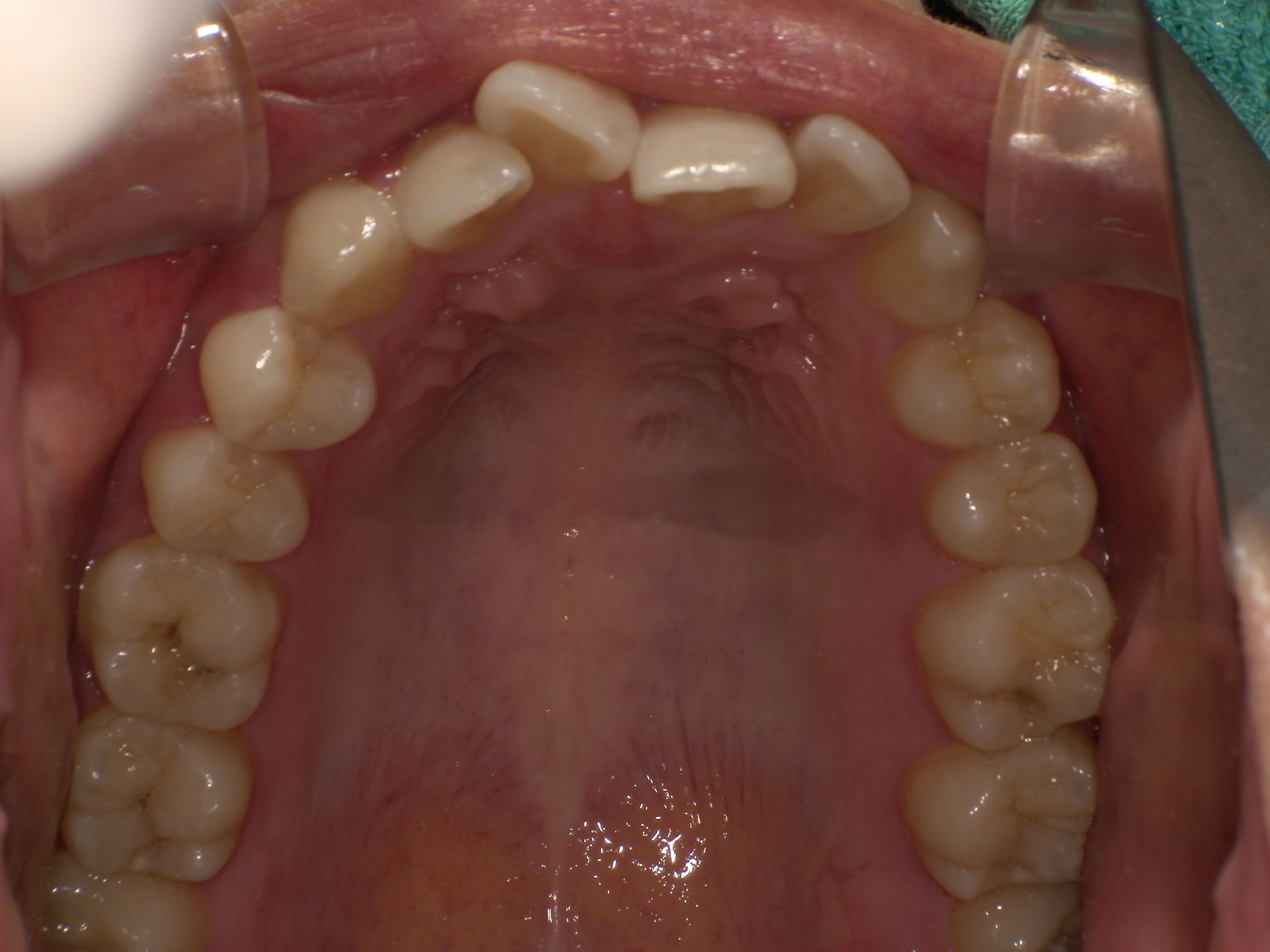
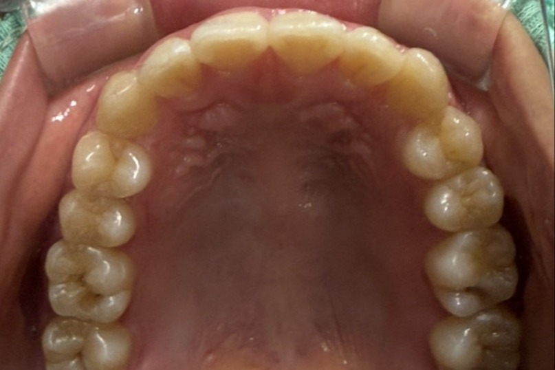
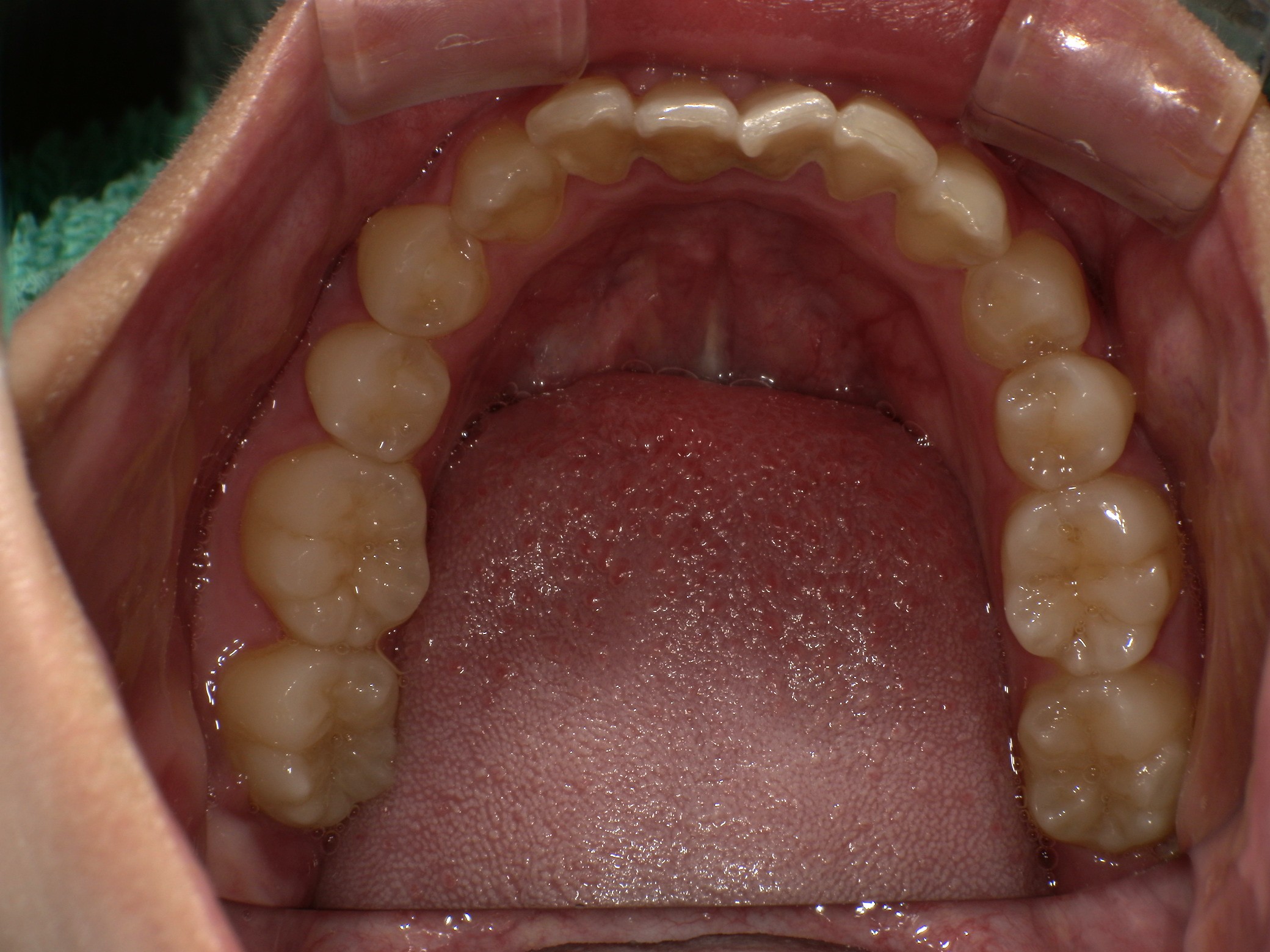
初めての矯正に不安があったという障害者支援員として働く23歳女性のS.S.様。 費用や期間への心配も、スタッフの丁寧な説明と改善するたびに一緒に喜んでくれる温かい対応で払拭され、安心して通い続けることができた理由をお伺いしました。
こんにちは、スマイルモア矯正 採用チームです!
スマイルモア矯正では、採用活動の一環として、実際にご利用いただいた方のリアルな声を紹介しています。
私たちの想いや大切にしていることを、未来の仲間にも知ってもらえたら嬉しいです。



| 詳細情報 | |
|---|---|
| 費用 | 360,000円(税込396,000円) |
| 治療期間 | 10ヶ月 |
| 治療内容 | マウスピースを用いた歯列矯正 |
| 追加処置 | IPR |
※保険適用外の自由診療となります。
※効果や感じ方には個人差があります。
※マウスピース矯正の主なリスク: 虫歯・歯周病・ブラックトライアングル・歯根吸収・歯肉退縮・1日20時間以上のマウスピース装着が必須・マウスピースにより痛みを感じる可能性・治療中に一時的にかみ合わせに不具合をきたす可能性・リテーナーを最低1年間は1日20時間以上装着、その後徐々に着用時間を減らし、2年目以降は夜間のみの着用推奨。
ー矯正を始めようと思ったきっかけは何だったのですか?
出かけたときに友達と撮った写真を見返しているなかで自分の歯並びがすごく気になったことがありました。 また、笑ったときに口の隙間から少し前歯が出てしまうこともよくあって、一度気になり始めるとその部分が目につくようになり、コンプレックスをなくしたいという思いから矯正を決心しました。
ー初めての矯正ということで不安なことも多かったのではないでしょうか?
お金や期間についてはもちろん気にかけていました。 しかし何よりも、矯正器具をつけながら社会人生活を不自由なく送れるかどうかがわからず不安に思っていました。
ー矯正歯科を選ぶうえで、何か重視した点はありましたか?
銀色の金具のような装置がどうしても嫌だったので、それ以外を扱っている歯医者さんを探しました。 SNSやGoogleで調べているうちに、Instagramの広告でスマイルモアが出てきて、そこから気になって自分で色々調べました。
ー最終的にスマイルモア矯正に決めた理由は何だったのでしょうか?
決めた理由はいろいろありますが、広告やサイトを見る限り清潔感があって、歯医者さんの怖いイメージがなかったこと。 普通の矯正期間よりも短い期間で矯正が終わる点と、透明なマウスピースを使うことで装着が目立たない点が決め手でした。
ー実際に矯正をしてみていかがでしたか?
最初は「本当にまっすぐになるのかな?」と少し不安に思っていましたが、歯が矯正されているような痛みもなく、気づいたら歯が綺麗に並んでいました。 マウスピースも10ヶ月ほど装着していましたが、慣れてくると装着していることに気づかないほどフィットしてくるので、苦痛にはなりませんでした。 綺麗になって本当に嬉しいという気持ちでいっぱいです。
ースマイルモア矯正を選んで良かったことはありますか?
働いている方々がとても親切で優しかったことです。 私が不安に思っていることを言わなくても一つひとつ丁寧に説明してくださったり、歯並びが改善する度に自分のことのように一緒に喜んでくださったりと、親身に寄り添ってくれました。 おかげで、矯正治療を続けるのも、医院に通うのも苦ではなかったです。
喜びを分かち合い、共に成長していける仲間を募集しております。 興味を持たれた方は、ぜひお問合せください。
スマイルモア矯正では働く仲間を募集しています!
採用ページはこちら!