スマイルモア採用チーム
※プライバシー保護のため、実際のご本人ではなくAIによるイメージです
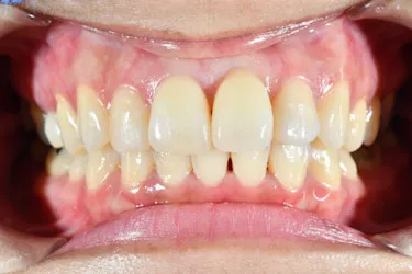
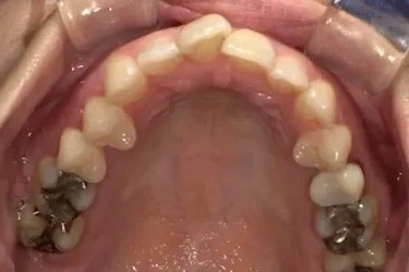
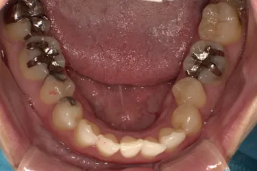
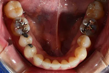
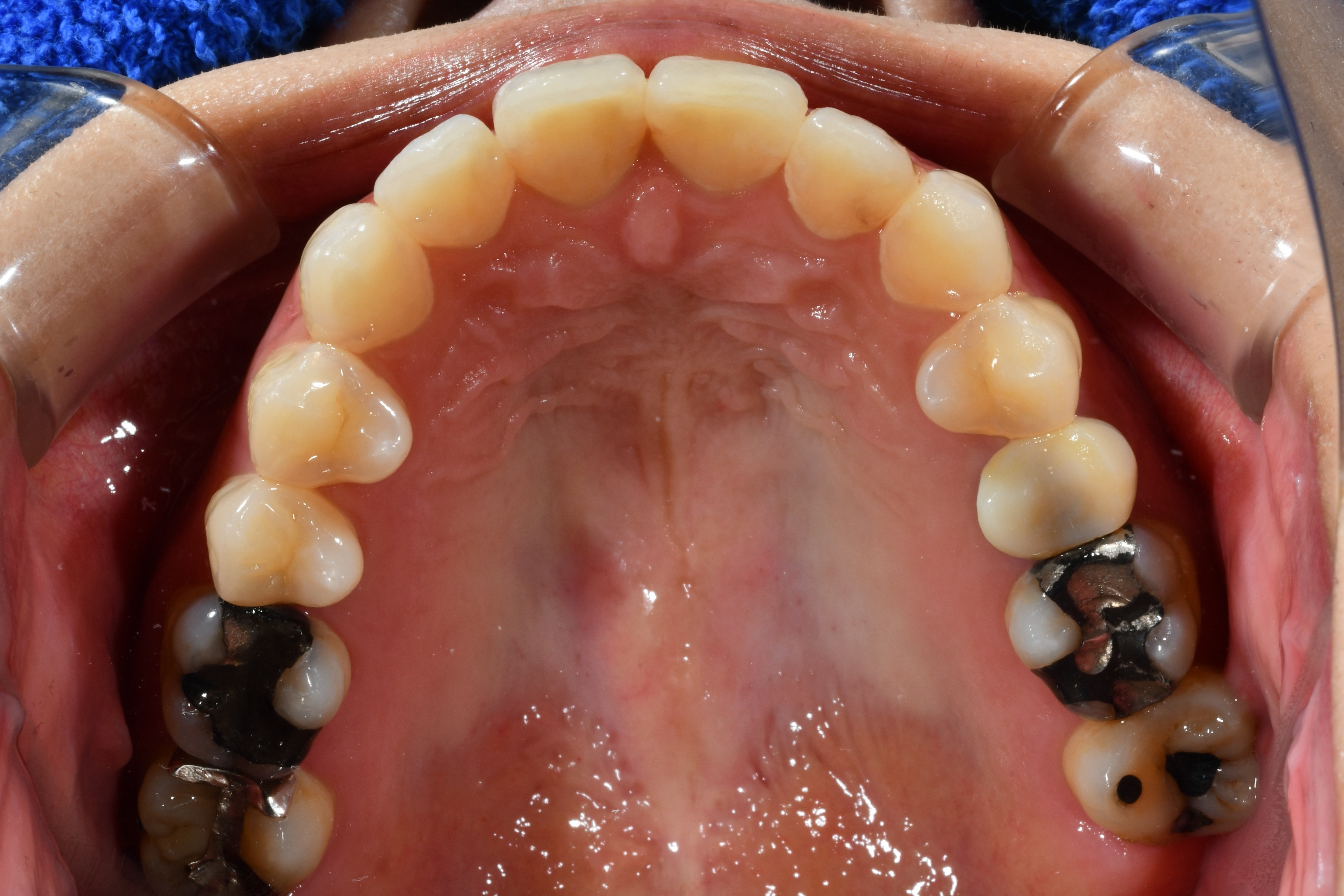
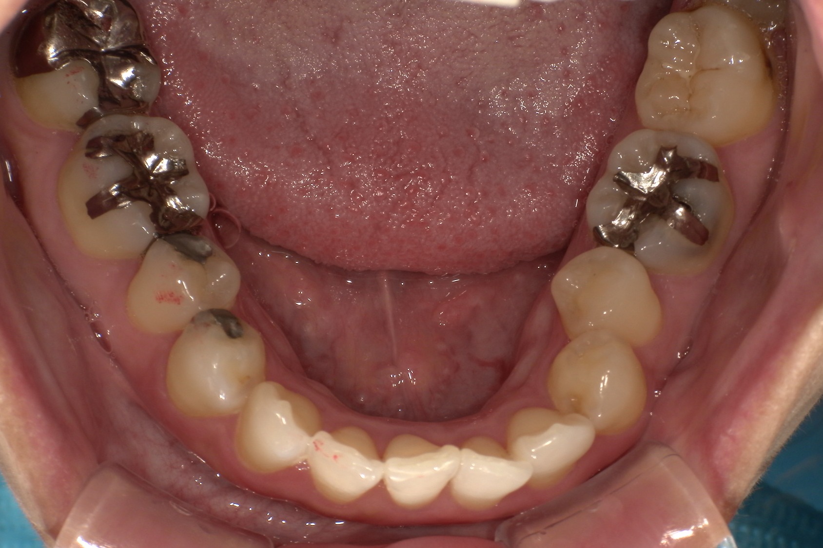
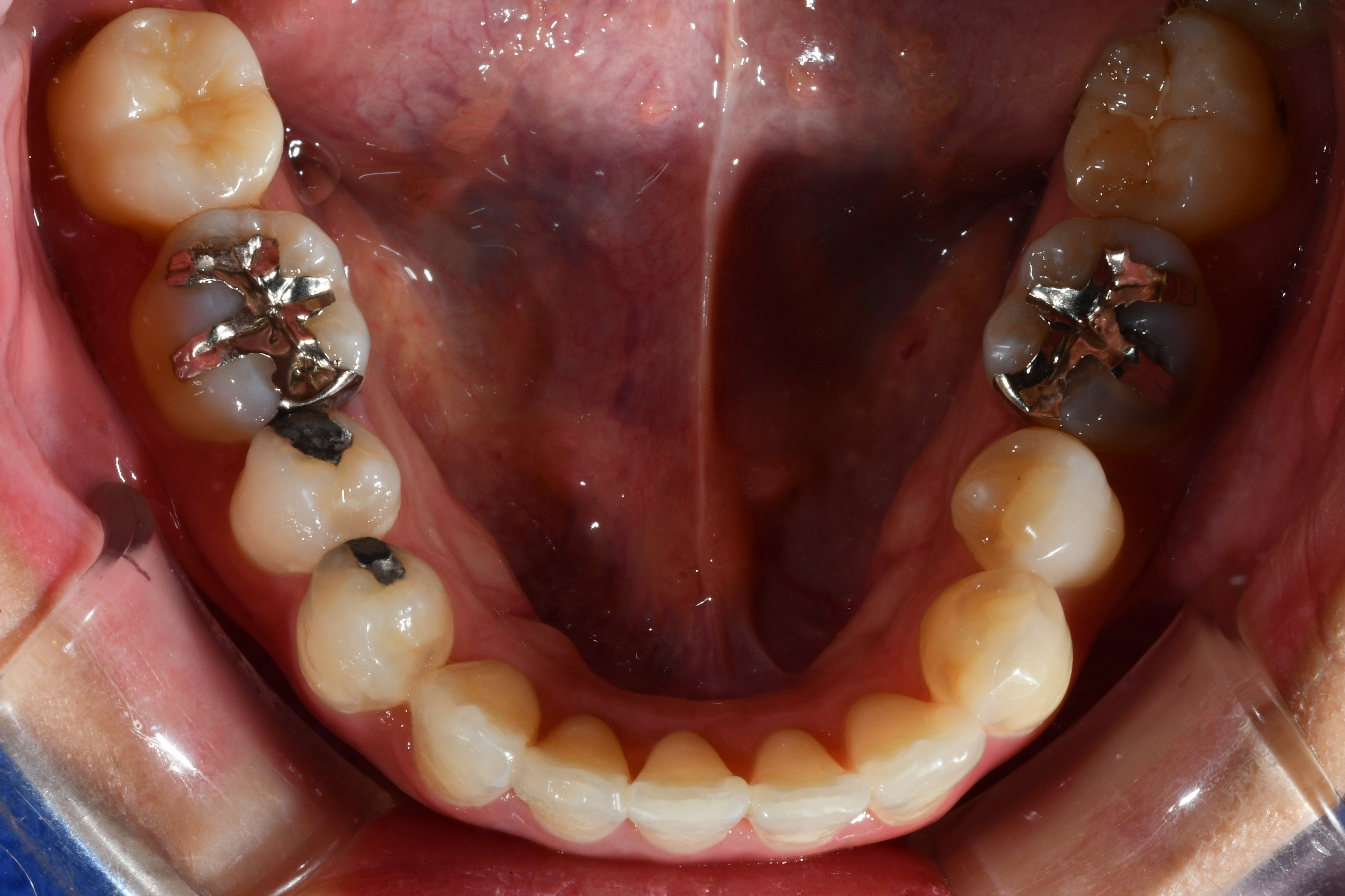
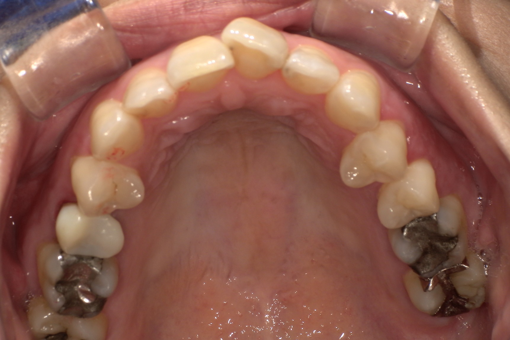
ホワイトニングも同時並行で行い、「毎週自分の歯並びの写真を撮っていたので、綺麗になっていくのが楽しみだった」という矯正体験について45歳主婦のN.T.様にお話を伺いました。
こんにちは、スマイルモア矯正 採用チームです!
スマイルモア矯正では、採用活動の一環として、実際にご利用いただいた方のリアルな声を紹介しています。
私たちの想いや大切にしていることを、未来の仲間にも知ってもらえたら嬉しいです。









| 詳細情報 | |
|---|---|
| 費用 | 360,000円(税込396,000円) |
| 治療期間 | 7ヶ月 |
| 治療内容 | マウスピースを用いた歯列矯正 |
| 追加処置 | IPR |
※保険適用外の自由診療となります。
※効果や感じ方には個人差があります。
※マウスピース矯正の主なリスク: 虫歯・歯周病・ブラックトライアングル・歯根吸収・歯肉退縮・1日20時間以上のマウスピース装着が必須・マウスピースにより痛みを感じる可能性・治療中に一時的にかみ合わせに不具合をきたす可能性・リテーナーを最低1年間は1日20時間以上装着、その後徐々に着用時間を減らし、2年目以降は夜間のみの着用推奨。
ー矯正を始めようと思ったきっかけは何だったのでしょう?
実は以前から自分の歯並びが少し気になっていました。 そんなとき、先生に相談したところ「理想の歯並びを目指すのに年齢なんて関係ない」と矯正を勧めていただいたのがきっかけでした。
ー矯正治療のなかでもスマイルモア矯正を選ばれた理由は何ですか?
ワイヤー矯正など、装着の目立つ矯正には抵抗があり、その点マウスピース矯正は透明で目立ちにくいと聞いて魅力を感じました。 それに、自宅から近い場所にあったというのも大きかったです。通いやすい場所にあることは続けられるための重要なポイントだと思っていましたし、もし何かあった場合や他の治療を受けたいときにも自宅から近い方が便利だと考えました。
ーマウスピース矯正と聞いて不安なことはありませんでしたか?
痛みに弱いので、どれくらい痛みがあるのかは診察を受けるまでずっと不安でした。 しかし先生から「マウスピース矯正は少しずつ歯を動かすためワイヤー矯正などに比べると痛みは少ないが、それでも完全にゼロではない」と事前に説明いただいたので、不安を解消してから治療を開始できました。
ー実際に矯正をしてみていかがでしたか?
毎週自分で歯並びの写真を撮っていたので日々綺麗になっていく歯並びを見るのが嬉しく、家族からも綺麗になったねと言われました! マウスピース矯正と並行してホワイトニングも行っていたので、歯が格段に綺麗になるのを実感できたのが嬉しかったです。
ースマイルモア矯正を選んで良かった点はありますか?
痛みも少なく、マウスピースをしていても目立たないですし、私が始める前に思っていたよりもずっと短い期間で矯正が終わりました。通院も最低限で済むので、ストレスなく過ごすことができました。スマイルモアで矯正をして、本当に良かったと思っています。
スマイルモアでは、歯並びが綺麗になり、自然と笑顔が増える喜びをより多くの人にお届けしたいと考えています。 患者様の自信あふれる笑顔のために、私たちと一緒に歩みませんか?
スマイルモア矯正では働く仲間を募集しています!
採用ページはこちら!