スマイルモア採用チーム
※プライバシー保護のため、実際のご本人ではなくAIによるイメージです
ご両親に「矯正するなら自分でお金を払いなさい」と言われてしまった18歳の男子高校生S.H.様。 学生でも金銭面の不安を抱えずに、安心して矯正を始めることができた理由を伺いました。
こんにちは、スマイルモア矯正 採用チームです!
スマイルモア矯正では、採用活動の一環として、実際にご利用いただいた方のリアルな声を紹介しています。
私たちの想いや大切にしていることを、未来の仲間にも知ってもらえたら嬉しいです。









| 詳細情報 | |
|---|---|
| 費用 | 360,000円(税込396,000円) |
| 治療期間 | 10ヶ月 |
| 治療内容 | マウスピースを用いた歯列矯正 |
| 追加処置 | IPR |
※保険適用外の自由診療となります。
※効果や感じ方には個人差があります。
※マウスピース矯正の主なリスク: 虫歯・歯周病・ブラックトライアングル・歯根吸収・歯肉退縮・1日20時間以上のマウスピース装着が必須・マウスピースにより痛みを感じる可能性・治療中に一時的にかみ合わせに不具合をきたす可能性・リテーナーを最低1年間は1日20時間以上装着、その後徐々に着用時間を減らし、2年目以降は夜間のみの着用推奨。
矯正を始めようと思ったきっかけは何かありますか?
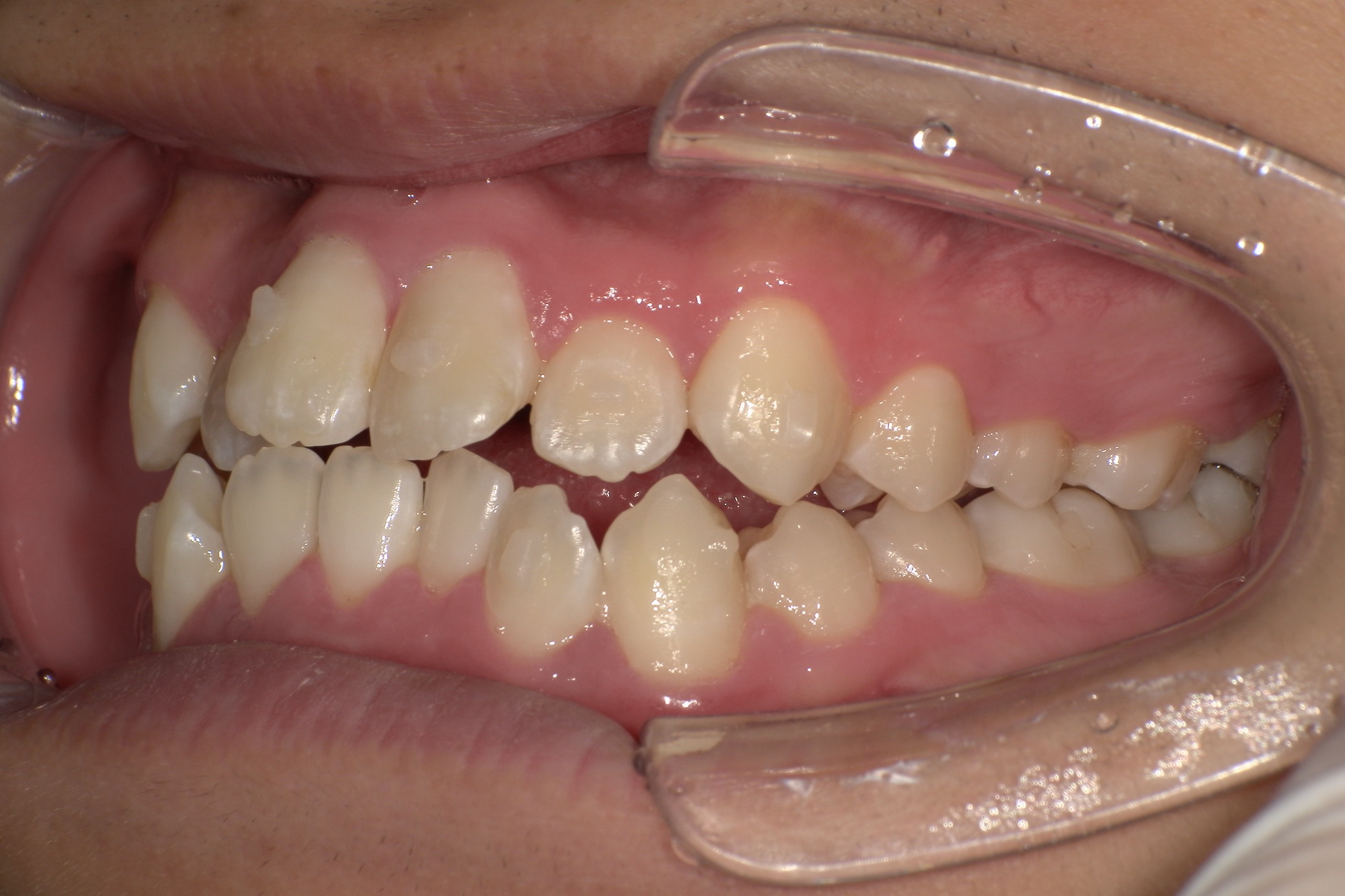
実は高校生になるまで、あまり自分の歯を気にしたことはありませんでした。 でも、高校に入ってから友達に歯のことを指摘されることが何度かあって、だんだん気にするようになりました。 最初は少しでも歯が綺麗に見えるようにホワイトニングとかを試してみたんですけど、根本の歯並びが良くないので、歯医者さんにも矯正をした方がいいと言われたのがきっかけです。
矯正を始めるにあたって何か悩んだことはありますか?
お金のことです。 親に「矯正するなら自分でお金を払いなさい」と言われ、当時アルバイトを始めたばかりで貯金もありませんでした。 矯正するにはかなりお金がかかるので、金銭的な悩みは常にありました。
どのようにして矯正費用を抑える方法を探されたのですか?
とにかくインターネットで金銭的な負担が少ない場所を探しました。 近所の歯科医院も調べましたが100万円を超える矯正費用がかかるとのことで、他の医院も探しました。 でも、近所の医院だけでなく、他の医院も同じく費用が高かったので、矯正を諦めようとしていたときに、スマイルモア矯正のサイトを見つけました。
スマイルモア矯正のどこに魅力を感じましたか?
圧倒的に費用が安く、高校生の私でも払える値段に惹かれました。 最初は費用が安かったので、少し不安なところもありましたが、インターネットでの評判も良かったのでまずは一度行ってみようと思いました。 実際にカウンセリングを受けたところ、私の疑問や不安にも親切に答えてくれました。費用だけでなく診療体制もしっかりしていると感じ、ここなら安心して歯並びを綺麗にできると思い、スマイルモア矯正に決めました。
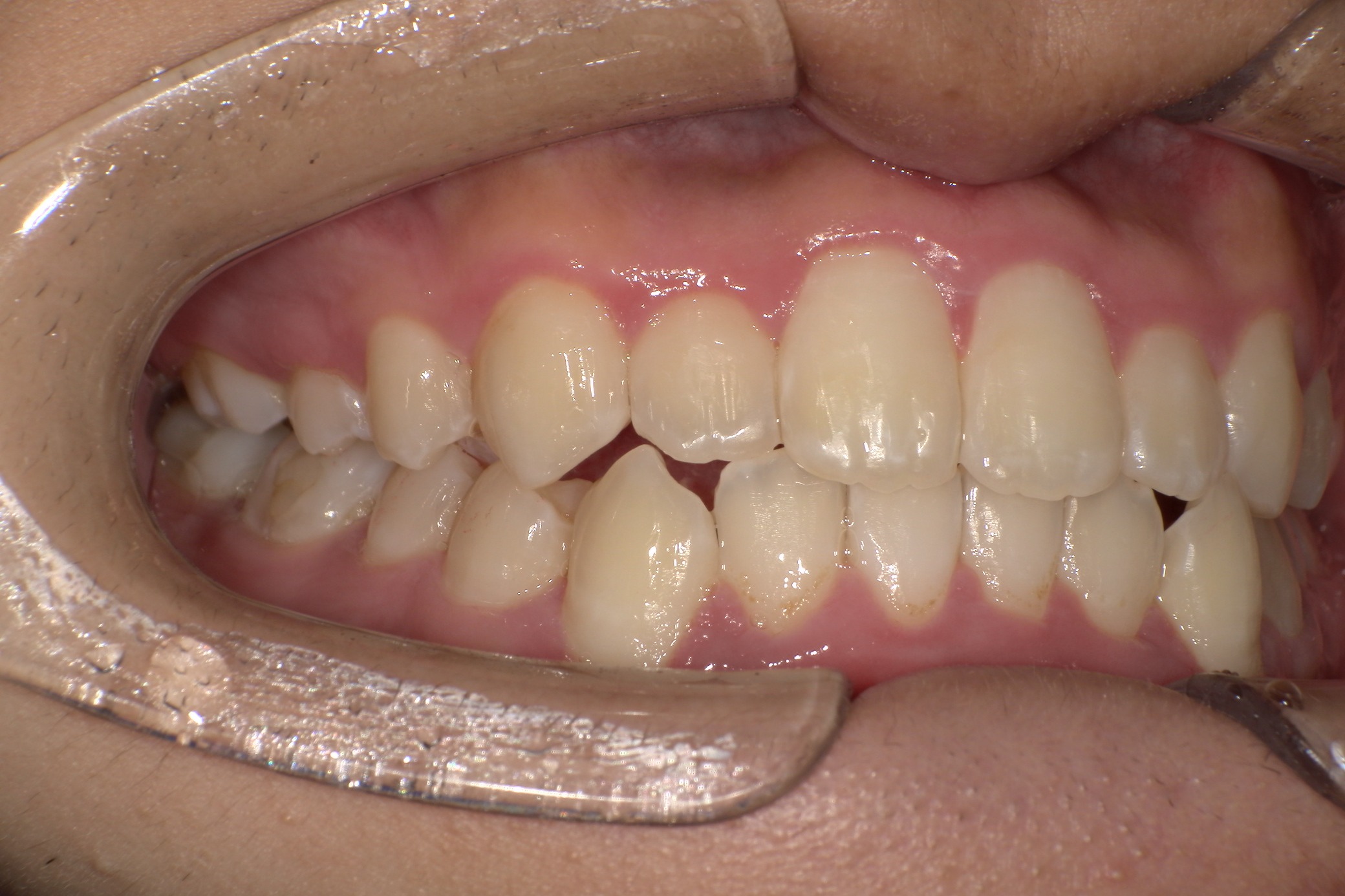
実際に矯正を始めてみていかがでしたか?
歯並びを気にせず笑えるようになり、本当にやって良かったと感じています。 最初は本当に治っているか不安もありましたが、医師から具体的な説明もあり、安心して矯正を続けることができました。
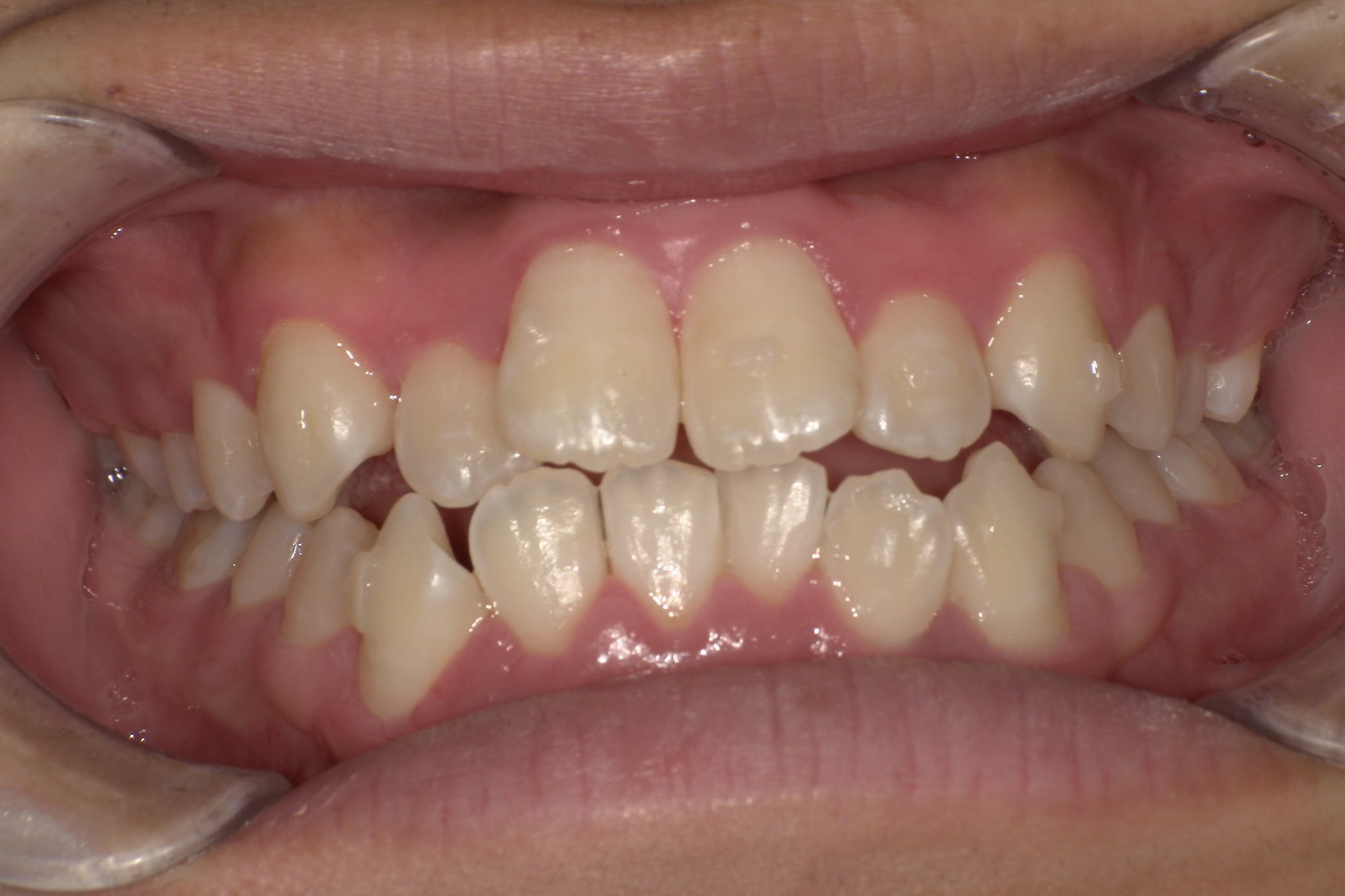
改めてスマイルモアを選んで良かったところを教えてください。
高校生の私でも続けられる値段で、とても満足な治療が受けられたので、スマイルモアにして良かったと思っています。 大した痛みや違和感もなく、簡単に取り外しもできるので不便に感じることもなく、飽き性の私でも毎日続けられるくらい手軽でした。
現在、スマイルモアでは一緒に活躍してくれる方を募集しています。 歯の悩みに寄り添い、患者様の笑顔という喜びを分かち合いませんか。
スマイルモア矯正では働く仲間を募集しています!
採用ページはこちら!