スマイルモア採用チーム
※プライバシー保護のため、実際のご本人ではなくAIによるイメージです
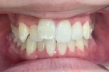
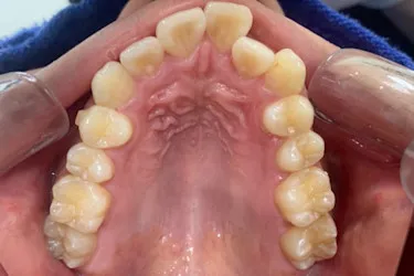
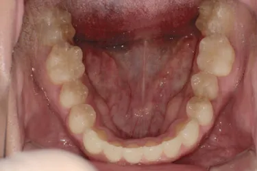
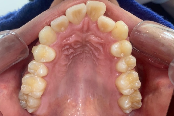
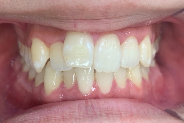
人と接する機会が多く、第一印象を大切にしたいと考え、写真写りや笑顔への自信を高めたいという思いから矯正を決意された矯正当時学生だった22歳男性の H.S.様に、スマイルモア矯正を選んだ理由を伺いました。
こんにちは、スマイルモア矯正 採用チームです!
スマイルモア矯正では、採用活動の一環として、実際にご利用いただいた方のリアルな声を紹介しています。
私たちの想いや大切にしていることを、未来の仲間にも知ってもらえたら嬉しいです。









| 詳細情報 | |
|---|---|
| 費用 | 360,000円(税込396,000円) |
| 治療期間 | 11ヶ月 |
| 治療内容 | マウスピースを用いた歯列矯正 |
| 追加処置 | IPR |
※保険適用外の自由診療となります。
※効果や感じ方には個人差があります。
※マウスピース矯正の主なリスク: 虫歯・歯周病・ブラックトライアングル・歯根吸収・歯肉退縮・1日20時間以上のマウスピース装着が必須・マウスピースにより痛みを感じる可能性・治療中に一時的にかみ合わせに不具合をきたす可能性・リテーナーを最低1年間は1日20時間以上装着、その後徐々に着用時間を減らし、2年目以降は夜間のみの着用推奨。
矯正を始めたきっかけは何かあったのですか?
1番のきっかけは、写真写りを良くして自分の笑顔にもっと自信を持ちたかったからです。 また、人と接する機会も多いので、第一印象をより良くしたいという思いが強くありました。
矯正のなかでもマウスピース矯正を選んだ理由はありますか?
ワイヤー矯正よりも目立ちにくく、日常生活に取り入れやすい点に魅力を感じ、マウスピース矯正に決めました。 治療期間がどのくらいか、理想の仕上がりになるか、装着時間を守る必要があるため日常生活のなかで続けることができるかなどの不安はありました。 それでも、マウスピースであれば透明で目立ちにくい上、食事の際など場面に応じて取り外しができるメリットを考え、思い切って矯正を始めてみようと思いました。
スマイルモア矯正を選んだ理由を聞かせてください。
マウスピース矯正について調べているなかで、口コミや比較サイトでスマイルモア矯正が紹介されているのを見つけました。 そこで、公式サイトや費用、実際に治療を受けた方の体験談を読んでいるうちに、自分の希望に合っていると感じ、本格的に検討を始めました。 矯正を始めたときは学生だったため、続けやすい価格設定で無理なく始められるところに魅力を感じ、スマイルモア矯正に決めました。
実際に矯正を行ってみていかがでしたか?
以前よりも歯並びが改善され、人とコミュニケーションをとることに自信がつきました。 「スマイルモア」という名前の通り、笑顔に自信がついたことで今までよりも口を開けて笑う機会も増えました。 矯正期間が年単位だったのですぐに変化があったわけではないですが、綺麗な仕上がりに満足しています。
いまスマイルモア矯正に悩まれている方に、お伝えしたいことはありますか?
私も始める前は、費用や手間などいろいろと不安がありましたが、実際に始めてみると、マウスピースの付け外しのみで想像していたよりもずっと手軽でした。 さらに、矯正を始めたことで見た目だけでなく、以前よりも自分の歯を大切にするようになり、綺麗な状態を保つ意識が自然と高まりました。 費用の面で見ても他の矯正と比べて始めやすいので、もし歯並びに悩んでいるのであれば、安心して一歩踏み出してみてほしいです。
老若男女を問わず、多くの方にご利用いただいているスマイルモアでは、共に成長していける新たな仲間を募集しております。 あなたの個性とスキルを活かし、共に成長していきませんか?
スマイルモア矯正では働く仲間を募集しています!
採用ページはこちら!