スマイルモア採用チーム
※プライバシー保護のため、実際のご本人ではなくAIによるイメージです
小学生のときにワイヤー矯正を行ったものの、痛みや不便さに耐えられず途中で断念してしまったという20歳女子大生のO.R.様。 大人になってまた矯正したいと決断し、スマイルモア矯正を行った感想を伺いました。
こんにちは、スマイルモア矯正 採用チームです!
スマイルモア矯正では、採用活動の一環として、実際にご利用いただいた方のリアルな声を紹介しています。
私たちの想いや大切にしていることを、未来の仲間にも知ってもらえたら嬉しいです。

ー矯正を始めようと思ったきっかけは何だったのでしょう?
実は小学生のころにワイヤー矯正をしていたのですが、痛みが強く、装着の煩わしさにも耐えられず、途中であきらめてしまいました。 でも、大人になってから、横から見たときの口元の出っ張りや笑ったときの前歯のがたつきなどが気になり始め、やっぱり歯並びを綺麗にしたいという気持ちが強くなり、矯正しようと思いました。
ースマイルモアに興味を持たれたのはどのような点でしたか?
スマイルモア矯正に興味を持った一番の理由は値段です。 以前、近所の歯科医院でマウスピース矯正を検討した際、100万円近くかかると言われました。また、治療期間も数年と聞き、時間的にも経済的にも負担が大きく、矯正を諦めていました。 だからこそ、スマイルモア矯正の高すぎず、自分で払える範囲の値段であるということを知り、「私でも矯正できるんだ」と思い、嬉しかったのを覚えています。
ー最終的にスマイルモア矯正にした決め手は何ですか?
透明なマウスピースで日中も無理なく矯正ができること、今回は前歯のみの矯正ができれば良いと思っていたので手頃な値段の矯正から探して、スマイルモア矯正が自分に合っているのではないかと思い、最終的に決めました。 また、終わるまでの期間も比較的短く、即効性があるというのも魅力的でした。
ー実際に矯正を始めてみていかがでしたか?
食事後毎回丁寧に歯磨きしてからマウスピースを付け直すことや、日中にお茶やコーヒーが気軽に飲めないのが、最初は少し大変だと感じました。 ただ、マウスピース自体は透明で目立ちにくく、色や匂いも付きにくいので慣れてしまえば扱いやすかったです。 歯並びが綺麗になるのはもちろんですが、マウスピース自体の使いやすさにも満足しています。
ー矯正を終えてみていかがでしたか?
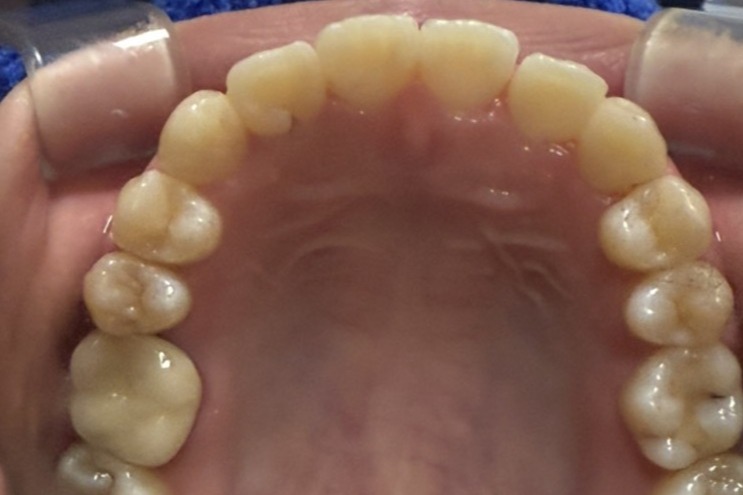
矯正の痛みはワイヤー矯正ほど強くないのにもかかわらず、しっかり全体が綺麗なアーチになり、見た目の変化も即効性も想像以上でした。 思春期から横顔の形に悩んでいて、鼻や顎の整形も考えていたので、「横顔が綺麗になったね」と家族に褒められたときは本当にうれしかったですし、フェイスラインまで綺麗になったように感じ、自分に自信がつきました。 そして矯正したことで、噛み合わせも変わりました。 以前は硬い肉やパンが噛みにくかったため、無意識に避けていたのですが、矯正後は硬い食べ物もしっかり噛めるようになり、食事の選択肢も広がったことで以前よりずっと食事が楽しくなりました。
ースマイルモア矯正で良かったと感じる点はありますか?
マウスピースを徹底してつけなければいけない期間が1年以内、40万円以内で矯正が完了する というのが本当に感激しました。 マウスピースも扱いやすく、大好きな食事も制限することなく矯正できたので良かったです。
スマイルモアでは、一緒に働く人を募集しております。 ご応募を心よりお待ちしております。
スマイルモア矯正では働く仲間を募集しています!
採用ページはこちら!