2025-08-29
インビザラインを検討しているけど、失敗して後悔しないか不安に感じていませんか?
インビザラインは目立ちにくいマウスピース矯正方法として人気ですが、「やらなきゃよかった」「後悔した」という意見も目にしますよね。
この記事では、インビザラインで後悔してしまう失敗例について紹介。どのような理由で後悔する結果になってしまうのか、失敗しないためのポイントとあわせて解説します。
インビザライン矯正で失敗したくない人は、ぜひ最後まで読み進めてみてください。

この記事の監修医師歯科医師高橋 涼太 先生
千賀デンタルクリニック分倍河原MINANO医院 院長。日本大学歯学部 卒業。
監修日:2025/08/29インビザライン矯正は、以下のような流れで治療が行われます。
1.初回カウンセリング
2.口腔内のスキャンとレントゲンなどの精密検査
3.クリンチェックという3Dシミュレーションを使って治療計画を作成
4.マウスピースの装着開始
5.自分でマウスピースを取り変えながら治療を進める
6.矯正治療後、後戻りを防ぐためリテーナーを数年装着
インビザライン矯正を検討する際、費用と治療期間は重要なポイントです。以下に、費用の内訳と治療期間について、症例別に詳しくご紹介します。
インビザライン矯正にかかる費用は、以下の3つの項目に分けられます。
| 費用項目 | 内容 |
|---|---|
| 初期費用 | 初診料、精密検査料、診断料など |
| 治療費用 | マウスピース製作費、調整料、通院費など |
| 保定装置費用 | 矯正後の歯並びを維持するリテーナーの製作費 |
次に治療期間は、歯並びの状態によって異なります。以下に、症例別の目安を示しました。
| 症例の程度 | 治療期間の目安 |
|---|---|
| 軽度 | 約3ヶ月〜6ヶ月 |
| 中度 | 約9ヶ月〜15ヶ月 |
| 重度 | 約18ヶ月〜24ヶ月以上 |
治療期間は、患者様の歯の状態やマウスピースの装着時間、通院頻度などによって変動するため、事前に意識しておきましょう。

インビザラインは、軽度から中等度の歯並びに対して非常に高い成功率を誇る矯正治療です。症例の程度に応じて、成功率はおおよそ80〜90%とされています。
出典:Clear Aligner Therapy: Up to date review article
叢生(歯のデコボコ)・出っ歯・すきっ歯など、特に見た目の改善において高い効果が期待できます。
症状が軽いほど効果的で、短期間で整った歯並びが得られる傾向があります。実際の治療では、治療前後の比較写真を通じて改善効果を確認することができ、多くの患者が満足する結果を得ています。









| 詳細情報 | |
|---|---|
| 費用 | 360,000円(税込396,000円) |
| 治療期間 | 6ヶ月 |
| 治療内容 | マウスピースを用いた歯列矯正 |
| 追加処置 | なし |
※保険適用外の自由診療となります。
※効果や感じ方には個人差があります。
※マウスピース矯正の主なリスク: 虫歯・歯周病・ブラックトライアングル・歯根吸収・歯肉退縮・1日20時間以上のマウスピース装着が必須・マウスピースにより痛みを感じる可能性・治療中に一時的にかみ合わせに不具合をきたす可能性・リテーナーを最低1年間は1日20時間以上装着、その後徐々に着用時間を減らし、2年目以降は夜間のみの着用推奨。









| 詳細情報 | |
|---|---|
| 費用 | 360,000円(税込396,000円) |
| 治療期間 | 7ヶ月 |
| 治療内容 | マウスピースを用いた歯列矯正 |
| 追加処置 | なし |
※保険適用外の自由診療となります。
※効果や感じ方には個人差があります。
※マウスピース矯正の主なリスク: 虫歯・歯周病・ブラックトライアングル・歯根吸収・歯肉退縮・1日20時間以上のマウスピース装着が必須・マウスピースにより痛みを感じる可能性・治療中に一時的にかみ合わせに不具合をきたす可能性・リテーナーを最低1年間は1日20時間以上装着、その後徐々に着用時間を減らし、2年目以降は夜間のみの着用推奨。









| 詳細情報 | |
|---|---|
| 費用 | 360,000円(税込396,000円) |
| 治療期間 | 4ヶ月 |
| 治療内容 | マウスピースを用いた歯列矯正 |
| 追加処置 | IPR |
※保険適用外の自由診療となります。
※効果や感じ方には個人差があります。
※マウスピース矯正の主なリスク: 虫歯・歯周病・ブラックトライアングル・歯根吸収・歯肉退縮・1日20時間以上のマウスピース装着が必須・マウスピースにより痛みを感じる可能性・治療中に一時的にかみ合わせに不具合をきたす可能性・リテーナーを最低1年間は1日20時間以上装着、その後徐々に着用時間を減らし、2年目以降は夜間のみの着用推奨。
インビザラインは多くの症例に対応可能ですが、すべてのケースに適しているわけではありません。例えば、重度の歯周病がある場合は歯の移動が歯周組織へ悪影響を与える恐れがあるため、治療が難しいです。
出典:Orthodontic Treatment of a Periodontally - Affected Adult Patient (Case Report)
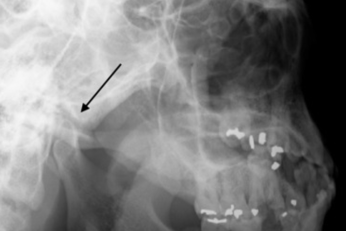
また、顎関節症を抱える人は、かみ合わせの変化によって症状が悪化することもあります。
出典:Imaging of the Temporomandibular Joint
さらに、大きな歯の欠損があるとアライナーがうまく固定されず、計画的な移動ができないことがあるでしょう。
出典:The Power of Customized Clear Aligners in Closing Molar Edentulous Spaces: Clinical and Medico-Legal Considerations in a Scoping Review and Case Report
こうした症例では、ワイヤー矯正や外科的処置など他の方法が検討されます。
インビザラインは年齢に関係なく利用できる矯正方法ですが、年齢層ごとに適応条件や注意点が異なります。以下に、「子供」「若年者」「高齢者」の3つの区分に分け、それぞれの配慮事項をまとめます。
子供(6〜10歳)
※対象:混合歯列期(乳歯と永久歯が混在)
・永久歯が生えそろっていないため、対応できる症例は限られる。
・主に顎の幅を広げたり、将来的な矯正に備えた「予防的治療」が目的。
・成長過程を活かしやすく、発育に合わせて柔軟な治療計画が可能。
・保護者の装着管理が成功の鍵となる。
若年者(10代)
※対象:永久歯列完成後~18歳前後
・骨代謝が活発なため、歯の動きが早く、治療効果が出やすい。
・装着時間を守る自己管理能力が治療のカギ。インジケーター付きのアライナーで管理可能。
・通学・部活などの生活習慣に合わせたサポートが必要。
・紛失や破損対策として予備アライナーが付属。
高齢者(50歳以上)
※対象:中高年層、シニア世代
・年齢自体が障害にはならないが、歯・歯周組織の健康が前提。
・加齢により歯の動きが緩やかになるため、治療期間が長くなる傾向。
・過去の補綴治療(クラウン、ブリッジ、インプラント等)の影響を考慮。
・骨密度や全身疾患(糖尿病、骨粗しょう症など)の影響を歯科医と相談する必要あり。
・アライナーの装着・管理に慣れるまで少し時間がかかるケースも。
なお、インビザラインの成功率は、2020年の研究によると約50%と言われています。 (参考:インビザラインの進化研究(2020) - 矯正海外論文サイト)
ここからは、実際にインビザライン矯正を行って後悔したという例を紹介します。
大きく分けると、矯正治療全般で起きうる失敗、そしてマウスピース矯正治療ならではの失敗の2つです。
それぞれ背景にある原因を理解することで、インビザラインでの失敗を防ぎましょう。

矯正治療が終わっても、期待通りの仕上がりにならないことがあります。 特に見られるのは「歯を抜いた部分にすき間が残った」「歯の高さがそろわなかった」「上下の正中が合っていない」といったケースです。
インビザラインでもこのようなケースは起こり得ます。
歯列の状態によっては、マウスピース矯正を行なった最終調整として、ワイヤー矯正が必要となる場合も。
歯科医師がワイヤー矯正の併用を提案する場合は、理想的な歯並びを得るためにも実施することをおすすめします。
歯列矯正では、治療したのに歯がもとの位置に戻ってしまう「後戻り」が起こることがあります。 治療できれいに並んだ歯が、もとに戻ってしまうのはとても残念ですよね。
インビザラインは、矯正のなかでも特に後戻りしやすいといった噂がありますが、これは根拠のない意見です。ワイヤー矯正であっても後戻りのリスクはあります。
後戻りを防ぐためには、歯科医師の指示に従ってリテーナーを使用することが重要です。 通常、治療後にリテーナーを1〜2年装着して歯並びを安定させます。
歯列矯正治療を行うと、歯の間に黒い三角形のすき間ができる「ブラックトライアングル」ができることがあります。

すき間を埋めたり、歯茎を膨らませて目立たなくしたりする方法もありますが、どうしてもブラックトライアングルが出来る可能性があることは理解しておきましょう。
矯正治療において、まれに歯茎が下がる現象が見られます。
矯正では歯の骨に力を加え、骨が吸収・再生する仕組みを利用して歯を動かします。この時、歯茎に負担がかかりすぎると、歯肉退縮が発生します。
歯茎が下がると、歯の見える部分が増えて、結果として歯が長くなったような見た目になります。 また、知覚過敏が生じることもあります。
これは矯正装置の周辺に食べかすや細菌が溜まりやすく、虫歯や歯周病のリスクが増加するためです。
インビザラインのようなマウスピース矯正の場合、取り外しが可能なため歯磨きしやすいですが、長時間装着しているうちに唾液の循環が悪くなることも原因と考えられます。
虫歯や歯周病にならないためにも、適切な口腔ケアと定期的な歯科検診を行うようにしましょう。

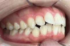
インビザライン治療で叢生を改善しようとした際、人によっては出っ歯になってしまうことがあります。
++叢生とは、スペースが不足していることで歯が適切に並ばず、ガタガタの歯並びになったり、歯が部分的に重なったりしている状態のことです。
通常、叢生の歯をきれいに並べるためには、抜歯やIPR(ストリッピング)という歯を削る施術などですき間を作り、前歯を移動させる方法が取られます。
しかし十分なスペースがない状態で歯を並べようとすると、前方に張り出す形で整列させるしかなく、出っ歯になってしまう場合があります。
インビザライン矯正を行う場合でも、抜歯やストリッピングの必要があるかどうかは事前に確認するようにしましょう。
インビザライン治療において、まれに噛み合わせが悪くなるケースがあります。
マウスピースの装着時間が不十分だと、予定通りに歯が動かず、結果として噛み合わせも理想通りにならない可能性が出てくるからです。
矯正治療を行う際は、見た目を整えるだけでなく、理想的な噛み合わせにするための適切な治療計画が欠かせません。
インビザラインで抜歯矯正を行った場合、「抜歯したすき間が埋まらない」という失敗例があります。
抜歯矯正では奥歯の大きな移動が必要ですが、インビザラインのようなマウスピース矯正は、一般的に奥歯の移動は苦手です。
歯並びはきれいになってきたけれど、なかなか抜歯したすき間がなくならない場合は、ワイヤー矯正の併用も検討しましょう。
インビザライン治療において、歯を動かすためのスペース作りとして「IPR(ストリッピング)」という技術が用いられることがあります。
これは、歯のエナメル質を約0.2〜0.5mm削り、そのスペースを利用して歯並びを整える治療です。
削る量は非常に少ないため、通常歯の形状に大きな変化は生じません。
ただ、IPRは処置中の振動が強い場合があるので、「歯を削られすぎた」と感じることがあります。
一般的に、マウスピース矯正はワイヤー矯正と比べて痛みや不快感は少ないと言われています1)が、どの矯正方法でも歯が動くときの痛みは生じてしまうものです。
特に治療初期には、歯や歯茎に違和感や圧迫感を感じる人が多く、マウスピースが歯茎に当たり、我慢できず矯正を後悔する人もいます。
こうした症状は治療の進行とともに徐々に軽減されますが、人によっては、継続的な不快感が残ることもあるので、どうしても気になる場合にはクリニックに相談するのがよいでしょう。
マウスピースは適切に管理しないと、汚れや細菌が蓄積され、虫歯や歯周病を引き起こします。治療中は常に携帯用のケースを使って、マウスピースを清潔に保つのがおすすめです。
またマウスピースは取り外しできるため、なかには紛失してしまう人もいます。
紛失した場合、新しいマウスピースの製作には追加費用が発生し、治療期間が長引いてしまうこともあるので注意しましょう。
インビザライン治療では、矯正期間が長くなってしまうことがあります。 主にマウスピースを適切に装着していなかったり、または装着時間が不十分だったりした場合に起こりやすいです。
マウスピースは1日に20時間以上の装着が推奨されていますが、装着時間が短いと、治療効果が下がって、結果として矯正治療の期間が伸びてしまいます。
さらにマウスピースを紛失したり破損したりすると、再製作が必要になり、これも治療期間の延長の原因となります。
インビザライン矯正を最短期間で終わらせるためにも、必ず装着のルールを守るようにしましょう。
ここまでインビザラインで後悔した例を紹介してきましたが、もちろん「やってよかった!」という声も多くあります。
インビザライン最大の魅力は、その目立ちにくさにあります。
ワイヤー矯正とは異なり、透明なマウスピースを使用しているため、装着していても他人に気づかれにくいのです。
日常生活や仕事で矯正装置を目立たせたくない人にとっては、非常に大きなメリットといえるでしょう。
実際に多くの人が目立たないことに魅力を感じ、インビザラインを選んでいます。

さらにインビザラインには、歯磨きがしやすいといったメリットがあります。
ワイヤー矯正は、常に装置を取り付けているため歯磨きが難しく、虫歯や歯周病の原因になりやすいです。しかしマウスピース矯正では、歯磨きをする際には、マウスピースを取り外すことで通常と同じように歯のケアが行えます。
インビザラインであれば、治療中も健康な歯を保つことができるのです。


インビザライン治療で後悔しないためには、実績豊富なクリニックを選ぶことが重要です。
インビザラインの症例を多くもつクリニックでは、さまざまなお悩みやトラブルに対応してきた経験があり、治療の質が高く、満足度も高くなる傾向にあります。
治療計画を立てるところから治療の実施、アフターケアまで、豊富な経験に基づいた対応が期待できるでしょう。
インビザライン治療では、マウスピースの装着時間をしっかり守ることが大切です。
1日20時間以上の装着を心がけることで、治療効果を最大限に発揮できます。
食事や歯磨きの際にはマウスピースを外しますが、その後はすぐに装着しましょう。
マウスピースの自己管理を徹底することで、治療期間の延長を防ぎ、最短期間で理想の歯並びを手に入れることができます。
インビザライン治療が済んだ後は、歯がもとの位置に戻ろうとする力を防ぐため、リテーナーと呼ばれる保定装置を使用する必要があります。
一般的に、歯並びを安定させるまでの保定期間は最低1〜2年です。 この期間、リテーナーを適切に使用しないと、歯がもとの位置に戻ってしまい、せっかくの矯正治療が台無しになってしまいます。
もちろんリテーナーを清潔に保つことも重要で、清潔にしておかないと、虫歯や歯周病の原因になってしまいます。
治療後に後悔しないためにも、医師の指示に従って定期的な検診を行うようにしましょう。
インビザライン治療では、マウスピースを清潔に保つ必要があります。
マウスピースに汚れや細菌が蓄積すると、それが虫歯や歯周病の原因となります。治療中に虫歯や歯周病になってしまうと、そちらの治療を進めるために矯正期間が伸びてしまうので注意が必要です。
マウスピースは、専用のクリーナーや歯ブラシを使って清掃し、定期的に新しいものと交換することで清潔が保たれます。
最後に、インビザライン治療中になにか違和感を感じたら、すぐに歯科医師に相談しましょう。
マウスピース装着時には、口腔内の違和感や歯・歯茎への圧迫感など、さまざまな違和感を感じることがあります。 これらは誰しも起こりうるものですが、違和感が大きかったり長引いたりする場合、マウスピースの装着方法が間違っているか、マウスピース自体に何らかの問題があるかもしれません。
気になったらすぐ医師に相談することで、適切な調整を受けられ、治療効果を高めることができます。また、治療を進めるなかでの安心にも繋がるでしょう。
この記事では、インビザライン治療を行って失敗した事例や後悔した事例について紹介しました。
後悔する事例となってしまった背景には、必ず原因があります。
原因を知って正しく対策すれば、インビザライン矯正を行って理想の歯並びを手に入れられるでしょう。
インビザライン矯正で失敗して後悔しないために、まずは信頼できるクリニックを選んで相談してみることをおすすめします。

Process

相談日を予約する(30秒)
少しでも「歯並びを整えたい」と思ったら、ぜひ気軽にご相談ください。

最寄りの医院でお口を詳しくチェック
詳しい診断のために、最寄りの提携医院で、いろいろな検査をします。

歯科医師が詳細を説明
歯科医師が、治療後にどんな歯並びになるかや費用の詳細を説明します。気になることがあれば何でも質問できます。

スマイルモア矯正を始めるか判断
スマイルモア矯正を始める場合は、お申込用紙にご記入いただきます。一旦、お家に持ち帰って検討してももちろんOKです。

クリニックか自宅でマウスピースを
受け取り矯正開始
あなただけのマウスピース装置を製作し、お渡しします。